提醒成功
搜索
Mouse Monoclonal Antibody to FLT3
| Description |
|---|
| This gene encodes a class III receptor tyrosine kinase that regulates hematopoiesis. The receptor consists of an extracellular domain composed of five immunoglobulin-like domains, one transmembrane region, and a cytoplasmic kinase domain split into two parts by a kinase-insert domain. The receptor is activated by binding of the fms-related tyrosine kinase 3 ligand to the extracellular domain, which induces homodimer formation in the plasma membrane leading to autophosphorylation of the receptor. The activated receptor kinase subsequently phosphorylates and activates multiple cytoplasmic effector molecules in pathways involved in apoptosis, proliferation, and differentiation of hematopoietic cells in bone marrow. Mutations that result in the constitutive activation of this receptor result in acute myeloid leukemia and acute lymphoblastic leukemia. |
| References |
|---|
| 1. J Immunol. 2012 Oct 15;189(8):3822-30. 2. Cancer. 2012 Dec 15;118(24):6110-7. |
| Specification | |
|---|---|
| Aliases | FLK2; STK1; CD135; FLK-2 |
| Entrez GeneID | 2322 |
| Swissprot | P36888 |
| clone | 7B7C3 |
| WB Predicted band size | 130kDa |
| Host/Isotype | Mouse IgG1 |
| Antibody Type | Primary antibody |
| Storage | Store at 4°C short term. Aliquot and store at -20°C long term. Avoid freeze/thaw cycles. |
| Species Reactivity | Human |
| Immunogen | Purified recombinant fragment of human FLT3 (AA: 930-991) expressed in E. Coli. |
| Formulation | Purified antibody in PBS with 0.05% sodium azide |
| Application | |
|---|---|
| IHC | 1/200 - 1/1000 |
| ELISA | 1/10000 |
Product Image
- Black line: Control Antigen (100 ng); Purple line: Antigen(10ng); Blue line: Antigen (50 ng); Red line: Antigen (100 ng);
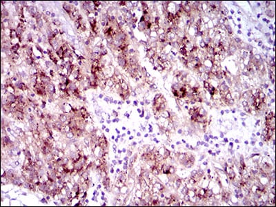
- Immunohistochemical analysis of paraffin-embedded human cervical cancer tissues using FLT3 mouse mAb with DAB staining.
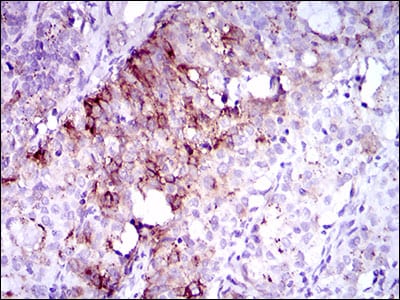
- Immunohistochemical analysis of paraffin-embedded human liver cancer tissues using FLT3 mouse mAb with DAB staining.
For Reseach Only
Application Key:WB - Western Blot | IHC - Immunohistochemistry | ICC - Immunocytochemistry | FCM - Flow Cytometry | ELISA - Enzyme-linked Immunosorbent Assay | IP - Immunoprecipitation
#30507
相关产品

微信/QQ登录


首页
