请登录
搜索 英文站
栏目

提醒成功

请输入手机号/邮箱号
请输入密码

账号密码登录

微信/QQ登录 微信/QQ登录

没有账号? 立即注册

搜索
Black line: Control Antigen (100 ng); Purple line: Antigen(10ng); Blue line: Antigen (50 ng); Red line: Antigen (100 ng);
Flow cytometric analysis of A549 cells using ABCC4 mouse mAb (green) and negative control (red).
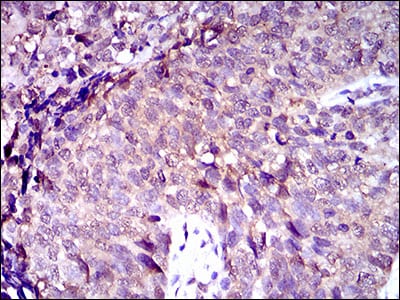
Immunohistochemical analysis of paraffin-embedded human endometrial cancer tissues using ABCC4 mouse mAb with DAB staining.
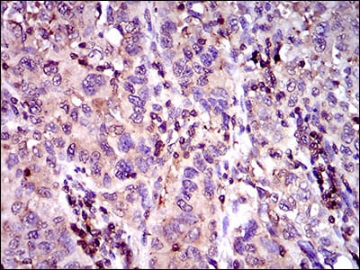
Immunohistochemical analysis of paraffin-embedded human bladder cancer tissues using ABCC4 mouse mAb with DAB staining.

Mouse Monoclonal Antibody to ABCC4

  • 货号:

    30521
  • 别名:

    MRP4; MOATB; MOAT-B; EST170205
  • 应用:

    IHC,FCM
  • 反应种属:

    Human
  • 规格:

  • 数量:

    -
    +
  • 说明书:

    目录价¥2180

加入购物车

Mouse Monoclonal Antibody to ABCC4

Description
The protein encoded by this gene is a member of the superfamily of ATP-binding cassette (ABC) transporters. ABC proteins transport various molecules across extra- and intra-cellular membranes. ABC genes are divided into seven distinct subfamilies (ABC1, MDR/TAP, MRP, ALD, OABP, GCN20, White). This protein is a member of the MRP subfamily which is involved in multi-drug resistance. The specific function of this protein has not yet been determined; however, this protein may play a role in cellular detoxification as a pump for its substrate, organic anions. Alternative splicing results in multiple splice variants encoding different isoforms.

References
1. Biochem Pharmacol. 2012 Aug 1;84(3):366-73.
2. Arch Dermatol Res. 2012 Jan;304(1):57-63.
Specification
Aliases MRP4; MOATB; MOAT-B; EST170205
Entrez GeneID 10257
Swissprot O15439
clone 2D2A9
WB Predicted band size 150kDa
Host/Isotype Mouse IgG1
Antibody Type Primary antibody
Storage Store at 4°C short term. Aliquot and store at -20°C long term. Avoid freeze/thaw cycles.
Species Reactivity Human
Immunogen Purified recombinant fragment of human ABCC4 (AA: 631-692) expressed in E. Coli.
Formulation Purified antibody in PBS with 0.05% sodium azide
Application
IHC 1/200 - 1/1000
FCM 1/200 - 1/400
ELISA 1/10000