请登录
搜索 英文站
栏目

提醒成功

请输入手机号/邮箱号
请输入密码

账号密码登录

微信/QQ登录 微信/QQ登录

没有账号? 立即注册

搜索
Black line: Control Antigen (100 ng); Purple line: Antigen(10ng); Blue line: Antigen (50 ng); Red line: Antigen (100 ng);
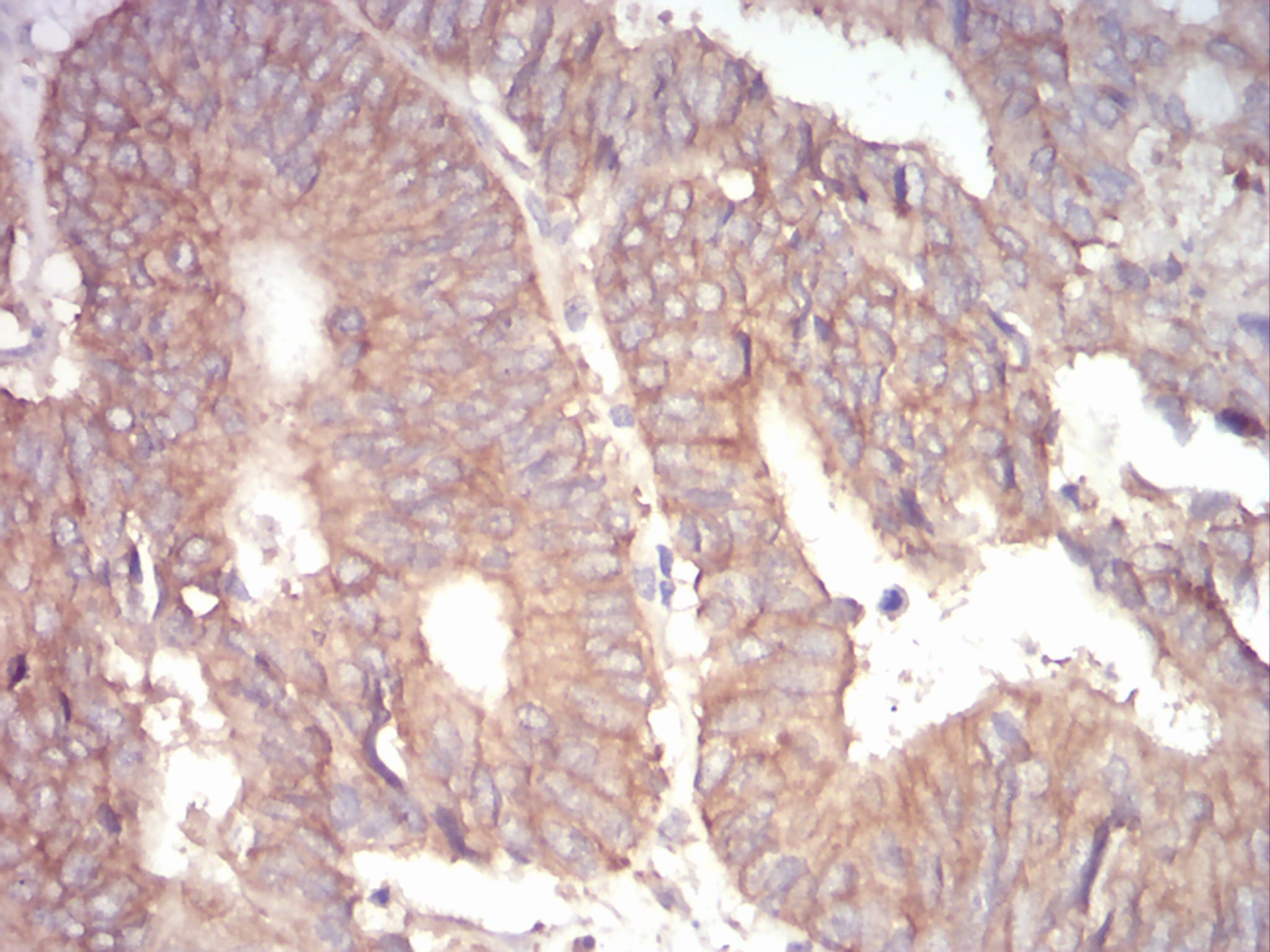
Immunohistochemical analysis of paraffin-embedded human cervical cancer tissues using 1-193 mouse mAb with DAB staining.
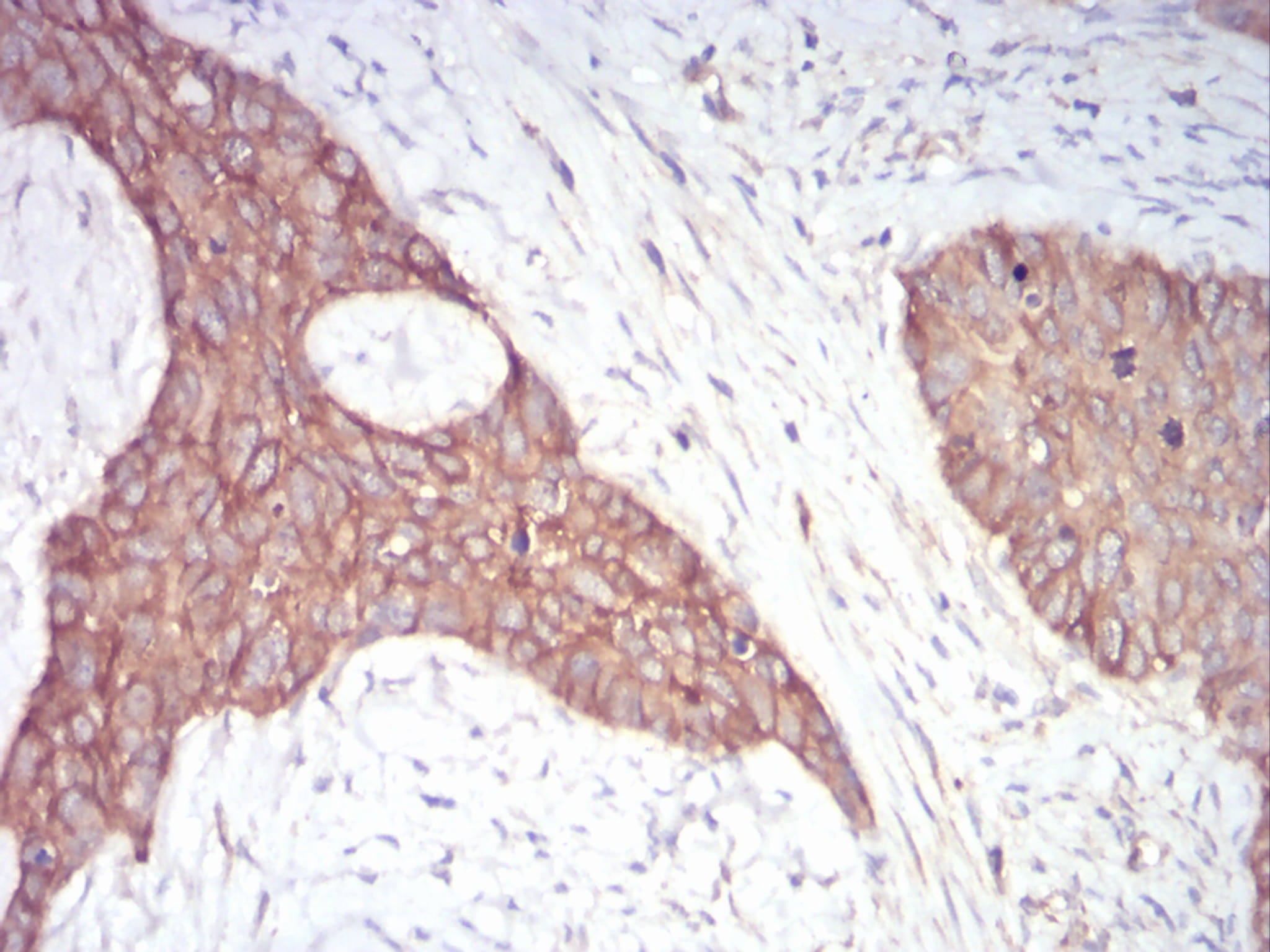
Immunohistochemical analysis of paraffin-embedded human rectum cancer tissues using 1-193 mouse mAb with DAB staining.

Mouse Monoclonal Antibody to ADD1

  • 货号:

    30763
  • 别名:

    ADDA
  • 应用:

    IHC
  • 反应种属:

    Human
  • 规格:

  • 数量:

    -
    +
  • 说明书:

    目录价¥2180

加入购物车

Mouse Monoclonal Antibody to ADD1

Description
Adducins are a family of cytoskeleton proteins encoded by three genes (alpha, beta, gamma). Adducin is a heterodimeric protein that consists of related subunits, which are produced from distinct genes but share a similar structure. Alpha- and beta-adducin include a protease-resistant N-terminal region and a protease-sensitive, hydrophilic C-terminal region. Alpha- and gamma-adducins are ubiquitously expressed. In contrast, beta-adducin is expressed at high levels in brain and hematopoietic tissues. Adducin binds with high affinity to Ca(2+)/calmodulin and is a substrate for protein kinases A and C. Alternative splicing results in multiple variants encoding distinct isoforms; however, not all variants have been fully described.
References
EMBO J. 2012 Mar 21;31(6):1453-66.
Traffic. 2011 Oct;12(10):1327-40.
Specification
Aliases ADDA
Entrez GeneID 118
Swissprot P35611
clone 5D4H1
WB Predicted band size 81kDa
Host/Isotype Mouse IgG1
Antibody Type Primary antibody
Storage Store at 4°C short term. Aliquot and store at -20°C long term. Avoid freeze/thaw cycles.
Species Reactivity Human
Immunogen Purified recombinant fragment of human ADD1 (AA: 1-193) expressed in E. Coli.
Formulation Purified antibody in PBS with 0.05% sodium azide
Application
IHC 1/200 - 1/1000
ELISA 1/10000