提醒成功
搜索
Mouse Monoclonal Antibody to LGALS1
| Description |
|---|
| The galectins are a family of beta-galactoside-binding proteins implicated in modulating cell-cell and cell-matrix interactions. This gene product may act as an autocrine negative growth factor that regulates cell proliferation. |
| References |
|---|
| 1.Cancer Sci. 2014 Nov;105(11):1402-10. 2.Lung Cancer. 2014 Apr;84(1):73-8. |
| Specification | |
|---|---|
| Aliases | GBP; GAL1 |
| Entrez GeneID | 3956 |
| Swissprot | P09382 |
| clone | 1H11C5 |
| WB Predicted band size | 14.7kDa |
| Host/Isotype | Mouse IgG1 |
| Antibody Type | Primary antibody |
| Storage | Store at 4°C short term. Aliquot and store at -20°C long term. Avoid freeze/thaw cycles. |
| Species Reactivity | Human |
| Immunogen | Purified recombinant fragment of human LGALS1 (AA: 1-135) expressed in E. Coli. |
| Formulation | Purified antibody in PBS with 0.05% sodium azide |
| Application | |
|---|---|
| IHC | 1/200 - 1/1000 |
| FCM | 1/200 - 1/400 |
| ELISA | 1/10000 |
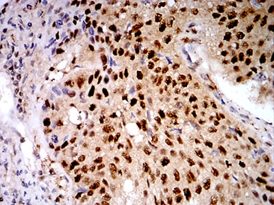
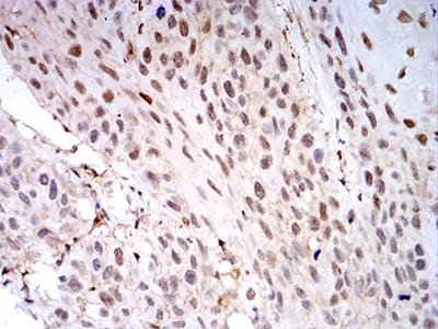
Product Image
- Black line: Control Antigen (100 ng);Purple line: Antigen (10ng); Blue line: Antigen (50 ng); Red line:Antigen (100 ng)
- Flow cytometric analysis of Hela cells using LGALS1 mouse mAb (green) and negative control (red).
- Immunohistochemical analysis of paraffin-embedded human lung cancer tissues using LGALS1 mouse mAb with DAB staining.
- Immunohistochemical analysis of paraffin-embedded human esophageal cancer tissues using LGALS1 mouse mAb with DAB staining.
For Reseach Only
Application Key:WB - Western Blot | IHC - Immunohistochemistry | ICC - Immunocytochemistry | FCM - Flow Cytometry | ELISA - Enzyme-linked Immunosorbent Assay | IP - Immunoprecipitation
#31021
相关产品

微信/QQ登录


首页
