提醒成功
搜索
Mouse Monoclonal Antibody to PGRMC1
| Description |
|---|
| This gene encodes a putative membrane-associated progesterone steroid receptor. The protein is expressed predominantly in the liver and kidney. |
| References |
|---|
| 1.Cancer Lett. 2015 Jan 28;356(2 Pt B):434-42. 2.Nan Fang Yi Ke Da Xue Xue Bao. 2012 May;32(5):635-8. |
| Specification | |
|---|---|
| Aliases | MPR; HPR6.6 |
| Entrez GeneID | 10857 |
| Swissprot | O00264 |
| clone | 6F9A1 |
| WB Predicted band size | 21.7kDa |
| Host/Isotype | Mouse IgG1 |
| Antibody Type | Primary antibody |
| Storage | Store at 4°C short term. Aliquot and store at -20°C long term. Avoid freeze/thaw cycles. |
| Species Reactivity | Human |
| Immunogen | Purified recombinant fragment of human PGRMC1 (AA:1-195) expressed in E. Coli. |
| Formulation | Purified antibody in PBS with 0.05% sodium azide |
| Application | |
|---|---|
| IHC | 1/200 - 1/1000 |
| ICC | 1/200 - 1/1000 |
| FCM | 1/200 - 1/400 |
| ELISA | 1/10000 |
Product Image
- Black line: Control Antigen (100 ng);Purple line: Antigen (10ng); Blue line: Antigen (50 ng); Red line:Antigen (100 ng)
- Immunofluorescence analysis of MCF-7 cells using PGRMC1 mouse mAb (green). Blue: DRAQ5 fluorescent DNA dye. Red: Actin filaments have been labeled with Alexa Fluor- 555 phalloidin. Secondary antibody from Fisher (Cat#: 35503)
- Immunofluorescence analysis of SK-OV-3 cells using PGRMC1 mouse mAb (green). Blue: DRAQ5 fluorescent DNA dye. Red: Actin filaments have been labeled with Alexa Fluor- 555 phalloidin. Secondary antibody from Fisher (Cat#: 35503)
- Flow cytometric analysis of A549 cells using PGRMC1 mouse mAb (green) and negative control (red).
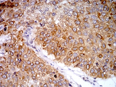
- Immunohistochemical analysis of paraffin-embedded human lung cancer tissues using PGRMC1 mouse mAb with DAB staining.
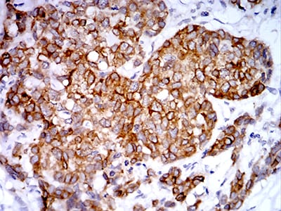
- Immunohistochemical analysis of paraffin-embedded human breast cancer tissues using PGRMC1 mouse mAb with DAB staining.
For Reseach Only
Application Key:WB - Western Blot | IHC - Immunohistochemistry | ICC - Immunocytochemistry | FCM - Flow Cytometry | ELISA - Enzyme-linked Immunosorbent Assay | IP - Immunoprecipitation
#31028
相关产品

微信/QQ登录


首页
