提醒成功
搜索
Mouse Monoclonal Antibody to AMACR
| Description |
|---|
| AMACR (alpha-methylacyl-CoA racemase) has been recently described as prostate cancer-specific gene that encodes a protein involved in the beta-oxidation of branched chain fatty acids. Expression of AMACR protein is found in prostatic adenocarcinoma but not in benign prostatic tissue. It stains premalignant lesions of prostate: high-grade prostatic intraepithelial neoplasia (PIN) and atypical adenomatous hyperplasia. AMACR can be used as a positive marker for PIN. Defects in AMACR are the cause of congenital bile acid synthesis defect type 4 (CBAS4); also known as cholestasis, intrahepatic, with defective conversion of trihydroxycoprostanic acid to cholic acid or trihydroxycoprostanic acid in bile. Clinical features include neonatal jaundice, intrahepatic cholestasis, bile duct deficiency and absence of cholic acid from bile. |
| References |
|---|
| 1. Chen Q. Watson JT. Marengo SR. et al. Cancer Lett. 2006, Dec 8, 244 (2):274-88.Epub 2006 Feb 23. 2. Epstein JI. Herawi M. J Urol. 2006, Mar, 175 (3 Pt 1):820-34. Review. |
| Specification | |
|---|---|
| Aliases | RACE |
| Entrez GeneID | 23600 |
| Swissprot | Q9UHK6 |
| clone | 2A10F3 |
| WB Predicted band size | 42kDa |
| Host/Isotype | Mouse IgG2b |
| Antibody Type | Primary antibody |
| Storage | Store at 4°C short term. Aliquot and store at -20°C long term. Avoid freeze/thaw cycles. |
| Species Reactivity | Human,Mouse |
| Immunogen | Purified recombinant fragment of human AMACR expressed in E. Coli. |
| Formulation | Ascitic fluid containing 0.03% sodium azide. |
| Application | |
|---|---|
| WB | 1/500 - 1/2000 |
| IHC | 1/200 - 1/1000 |
| ICC | 1/200 - 1/1000 |
| ELISA | 1/10000 |
Product Image
- Western blot analysis using AMACR mouse mAb against Jurkat (1) and LNCaP (2) cell lysate.
- Confocal Immunofluorescence analysis of LNCaP cells using AMACR mouse mAb (green). Red: Actin filaments have been labeled with DY-554 phalloidin. Blue: DRAQ5 fluorescent DNA dye.
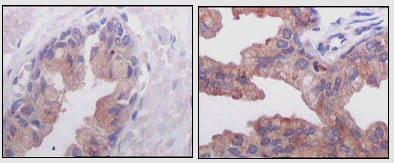
- Immunohistochemical analysis of paraffin-embedded human normal prostate tissues (left) and prostate adenocarcinoma tissues (right), showing cytoplasmic localization using AMACR mouse mAb with DAB staining.
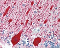
- Immunohistochemical analysis of paraffin-embedded human brain cerebellum using AMACR mouse mAb.
For Reseach Only
Application Key:WB - Western Blot | IHC - Immunohistochemistry | ICC - Immunocytochemistry | FCM - Flow Cytometry | ELISA - Enzyme-linked Immunosorbent Assay | IP - Immunoprecipitation
#20155
相关产品

微信/QQ登录


首页
