请登录
搜索 英文站
栏目

提醒成功

请输入手机号/邮箱号
请输入密码

账号密码登录

微信/QQ登录 微信/QQ登录

没有账号? 立即注册

搜索
Black line: Control Antigen (100 ng);Purple line: Antigen (10ng); Blue line: Antigen (50 ng); Red line:Antigen (100 ng)
Western blot analysis using CTNNB1 mouse mAb against Hela (1), SH-SY5Y (2), NIH/3T3 (3), and HEK293(4) cell lysate.
Flow cytometric analysis of Hela cells using CTNNB1 mouse mAb (green) and negative control (red).
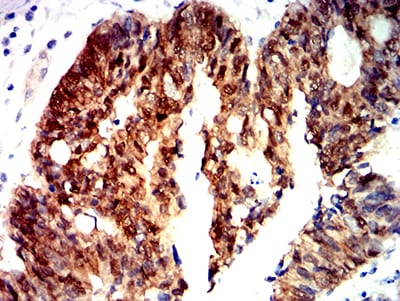
Immunohistochemical analysis of paraffin-embedded human cervical cancer tissues using CTNNB1 mouse mAb with DAB staining.
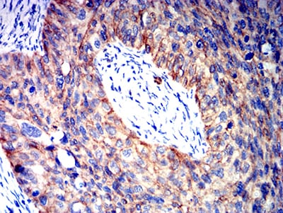
Immunohistochemical analysis of paraffin-embedded human rectum cancer tissues using CTNNB1 mouse mAb with DAB staining.

Mouse Monoclonal Antibody to CTNNB1

  • 货号:

    31277
  • 别名:

    CTNNB; MRD19; armadillo;Beta-catenin
  • 应用:

    WB,IHC,FCM
  • 反应种属:

    Human,Mouse
  • 规格:

  • 数量:

    -
    +
  • 说明书:

    目录价¥2180

加入购物车

Mouse Monoclonal Antibody to CTNNB1

Description
The protein encoded by this gene is part of a complex of proteins that constitute adherens junctions (AJs). AJs are necessary for the creation and maintenance of epithelial cell layers by regulating cell growth and adhesion between cells. The encoded protein also anchors the actin cytoskeleton and may be responsible for transmitting the contact inhibition signal that causes cells to stop dividing once the epithelial sheet is complete. Finally, this protein binds to the product of the APC gene, which is mutated in adenomatous polyposis of the colon. Mutations in this gene are a cause of colorectal cancer (CRC), pilomatrixoma (PTR), medulloblastoma (MDB), and ovarian cancer. Alternative splicing results in multiple transcript variants.
References
1.Anticancer Res. 2016 Apr;36(4):1599-604.
2.Int J Clin Exp Pathol. 2015 Nov 1;8(11):14989-94.
Specification
Aliases CTNNB; MRD19; armadillo;Beta-catenin
Entrez GeneID 1499
Swissprot P35222
clone 7C5A2
WB Predicted band size 85.5kDa
Host/Isotype Mouse IgG2b
Antibody Type Primary antibody
Storage Store at 4°C short term. Aliquot and store at -20°C long term. Avoid freeze/thaw cycles.
Species Reactivity Human,Mouse
Immunogen Purified recombinant fragment of human CTNNB1 (AA: 1-100) expressed in E. Coli.
Formulation Purified antibody in PBS with 0.05% sodium azide
Application
WB 1/500 - 1/2000
IHC 1/200 - 1/1000
FCM 1/200 - 1/400
ELISA 1/10000