提醒成功
搜索
Mouse Monoclonal Antibody to CD363
| Description |
|---|
The protein encoded by this gene is structurally similar to G protein-coupled receptors and is highly expressed in endothelial cells. It binds the ligand sphingosine-1-phosphate with high affinity and high specificity, and suggested to be involved in the processes that regulate the differentiation of endothelial cells. Activation of this receptor induces cell-cell adhesion. Alternative splicing results in multiple transcript variants. |
| References |
|---|
| 1.J R Soc Interface. 2016 Dec;13(125). pii: 20160823. 2.Eur J Cancer. 2015 Sep;51(14):1937-45. |
| Specification | |
|---|---|
| Aliases | S1PR1; EDG1; S1P1; ECGF1; EDG-1; CHEDG1; D1S3362 |
| Entrez GeneID | 1901 |
| Swissprot | P21453 |
| clone | 8E4H5 |
| WB Predicted band size | 42.8kDa |
| Host/Isotype | Mouse IgG2a |
| Antibody Type | Primary antibody |
| Storage | Store at 4°C short term. Aliquot and store at -20°C long term. Avoid freeze/thaw cycles. |
| Species Reactivity | Human |
| Immunogen | Purified recombinant fragment of human CD363 expressed in E. Coli. |
| Formulation | Purified antibody in PBS with 0.05% sodium azide |
| Application | |
|---|---|
| WB | 1/500 - 1/2000 |
| IHC | 1/200 - 1/1000 |
| FCM | 1/200 - 1/400 |
| ELISA | 1/10000 |
Product Image
- Black line: Control Antigen (100 ng);Purple line: Antigen (10ng); Blue line: Antigen (50 ng); Red line:Antigen (100 ng)
- Flow cytometric analysis of HL-60 cells using CD363 mouse mAb (green) and negative control (red).
- Immunohistochemical analysis of paraffin-embedded human cervical cancer tissues using CD363 mouse mAb with DAB staining.
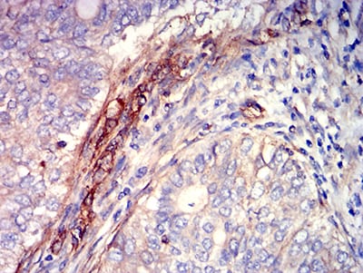
- Immunohistochemical analysis of paraffin-embedded human ovarian cancer tissues using CD363 mouse mAb with DAB staining.
For Reseach Only
Application Key:WB - Western Blot | IHC - Immunohistochemistry | ICC - Immunocytochemistry | FCM - Flow Cytometry | ELISA - Enzyme-linked Immunosorbent Assay | IP - Immunoprecipitation
#31546
相关产品

微信/QQ登录


首页
