请登录
搜索 英文站
栏目

提醒成功

请输入手机号/邮箱号
请输入密码

账号密码登录

微信/QQ登录 微信/QQ登录

没有账号? 立即注册

搜索
Western blot analysis using ULK3 mouse mAb against rat testis (1), PC-3 (2), DU145 (3),HEK293 (4),LNCAP (5)and Hela (6) cell lysate.
Immunofluorescence analysis of Hela cells using ULK3 mouse mAb (green). Blue: DRAQ5 fluorescent DNA dye. Red: Actin filaments have been labeled with Alexa Fluor- 555 phalloidin. Secondary antibody from Fisher (Cat#: 35503)
Flow cytometric analysis of HEK293 cells using ULK3 mouse mAb (green) and negative control (red).
Immunohistochemical analysis of paraffin-embedded human cervical cancer tissues using ULK3 mouse mAb with DAB staining.
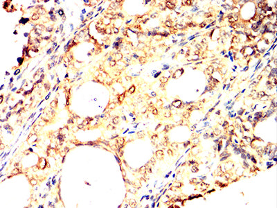
Immunohistochemical analysis of paraffin-embedded human prostate cancer tissues using ULK3 mouse mAb with DAB staining.

Mouse Monoclonal Antibody to ULK3

  • 货号:

    32395
  • 别名:

  • 应用:

    WB,IHC,ICC,FCM
  • 反应种属:

    Human, Rat
  • 规格:

  • 数量:

    -
    +
  • 说明书:

    目录价¥2180

加入购物车

Mouse Monoclonal Antibody to ULK3

Description
Enables protein serine/threonine kinase activity. Involved in several processes, including fibroblast activation; protein autophosphorylation; and regulation of smoothened signaling pathway. Located in cytoplasm.
References
1.Biochem J. 2021 Jul 30;478(14):2811-2823.
2.Elife. 2015 May 26;4:e06547.
Specification
Entrez GeneID 25989
Swissprot Q6PHR2
clone 5A5G2
WB Predicted band size 53.4kDa
Host/Isotype Mouse IgG1
Antibody Type Primary antibody
Storage Store at 4°C short term. Aliquot and store at -20°C long term. Avoid freeze/thaw cycles.
Species Reactivity Human, Rat
Immunogen Purified recombinant fragment of human ULK3 expressed in E. Coli.
Formulation Purified antibody in PBS with 0.05% sodium azide
Application
WB 1/500 - 1/2000
IHC 1/200 - 1/1000
ICC 1/50 - 1/200
FCM 1/200 - 1/400