提醒成功
Mouse Monoclonal Antibody to IL1B
| Description |
|---|
The protein encoded by this gene is a member of the interleukin 1 cytokine family. This cytokine is produced by activated macrophages as a proprotein, which is proteolytically processed to its active form by caspase 1. This cytokine is an important mediator of the inflammatory response, and is involved in a variety of cellular activities, including cell proliferation, differentiation, and apoptosis. The induction of cyclooxygenase2 by this cytokine in the central nervous system is found to contribute to inflammatory pain hypersensitivity. This gene and eight other interleukin 1 family genes form a cytokine gene cluster on chromosome 2. |
| References |
|---|
| 1,Zhonghua Jie He He Hu Xi Za Zhi. 2020 May 12;43(5):444-449. 2,Medicine (Baltimore). 2020 Jul 31;99(31):e2102 2. |
| Specification | |
|---|---|
| Aliases | IL-1; IL1F2; IL1beta; IL1-BETA |
| Entrez GeneID | 3553 |
| clone | 6F12D5 |
| WB Predicted band size | 30.7kDa |
| Host/Isotype | Mouse IgG1 |
| Antibody Type | Primary antibody |
| Storage | Store at 4°C short term. Aliquot and store at -20°C long term. Avoid freeze/thaw cycles. |
| Species Reactivity | Human |
| Immunogen | Purified recombinant fragment of human IL1B (AA: 117-269) expressed in E. Coli. |
| Formulation | Purified antibody in PBS with 0.05% sodium azide |
| Application | |
|---|---|
| IHC | 1/200 - 1/1000 |
| ICC | 1/200 - 1/1000 |
| FCM | 1/200 - 1/400 |
| ELISA | 1/10000 |
- Black line: Control Antigen (100 ng);Purple line: Antigen (10ng); Blue line: Antigen (50 ng); Red line:Antigen (100 ng)
- Immunofluorescence analysis of Hela cells using IL1B mouse mAb (green). Blue: DRAQ5 fluorescent DNA dye. Red: Actin filaments have been labeled with Alexa Fluor- 555 phalloidin. Secondary antibody from Fisher (Cat#: 35503)
- Flow cytometric analysis of Jurkat cells using IL1B mouse mAb (green) and negative control (red).
- Flow cytometric analysis of MOLT4 cells using IL1B mouse mAb (green) and negative control (red).
- Flow cytometric analysis of THP-1 cells using IL1B mouse mAb (green) and negative control (red).
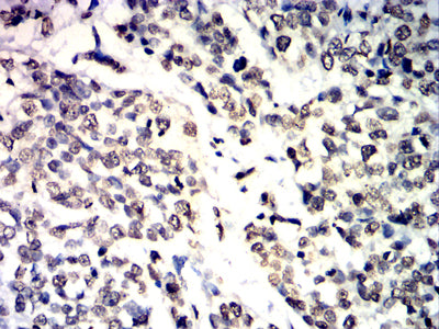
- Immunohistochemical analysis of paraffin-embedded human bladder cancer tissues using IL1B mouse mAb with DAB staining.
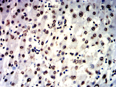
- Immunohistochemical analysis of paraffin-embedded human liver cancer tissues using IL1B mouse mAb with DAB staining.
For Reseach Only
Application Key:WB - Western Blot | IHC - Immunohistochemistry | ICC - Immunocytochemistry | FCM - Flow Cytometry | ELISA - Enzyme-linked Immunosorbent Assay | IP - Immunoprecipitation
#90005
相关产品

微信/QQ登录


首页
