请登录
搜索 英文站
栏目

提醒成功

请输入手机号/邮箱号
请输入密码

账号密码登录

微信/QQ登录 微信/QQ登录

没有账号? 立即注册

搜索
Western blot analysis using MCL1 mouse mAb against Hela (1), BCBL-1 (2), Jurkat (3) and HL60 (4) cell lysate.
Confocal Immunofluorescence analysis of HepG2 cells using MCL1 mouse mAb (green). Red: Actin filaments have been labeled with DY-554 phalloidin. Blue: DRAQ5 fluorescent DNA dye.
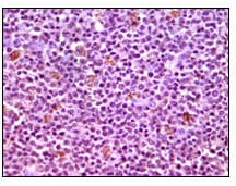
Immunohistochemical analysis of paraffin-embedded human lymphnode tissues using MCL1 mouse mAb with DAB staining.

Mouse Monoclonal Antibody to MCL-1

  • 货号:

    20027
  • 别名:

    EAT, MCL1L, MCL1S
  • 应用:

    WB,IHC,ICC
  • 反应种属:

    Human
  • 规格:

  • 数量:

    -
    +
  • 说明书:

    目录价¥2180

加入购物车

Mouse Monoclonal Antibody to MCL-1

Description
Mcl-1 (Myeloid cell leukemia-1) is Bcl-2-related and was identified as an early-induction gene that
increased in expression during the differentiation of human myeloblastic leukemia cell ML-1, or
exposure to different DNA damaging agents. The level of Mcl-1 is decreased in peripheral B lymphocytes undergoing apoptosis following treatment with apoptotic stimuli such as TGF-alpha 1 and forskolin. Expression of Mcl-1 is able to delay apoptosis induced by over-expression of c-myc in CHO 5AHSmyc cells. In hematopoietic FDC-P1 cells, Mcl-1 interacts with another Bcl-2-related
protein, Bax, and prolongs cell viability after treatment with different apoptotic reagents.This
monoclonal antibody detected a 37kd MCL1 in BCBL-1 cell lysate.
References
1. Ota, N. et al. J. Hum. Genet. 2000. 46: 254-269.
2. Schwertfeger KL, Ryder JW, Anderson SM J Mammary Gland Biol Neoplasia 2000, 3 : 236-251.
Specification
Aliases EAT, MCL1L, MCL1S
Entrez GeneID 4170
Swissprot Q07820
clone 8C6D4B1
WB Predicted band size 37kDa
Host/Isotype Mouse IgG1
Antibody Type Primary antibody
Storage Store at 4°C short term. Aliquot and store at -20°C long term. Avoid freeze/thaw cycles.
Species Reactivity Human
Immunogen Purified recombinant fragment of human MCL-1 expressed in E. Coli.
Formulation Purified antibody in PBS containing 0.03% sodium azide.
Application
WB 1/500 - 1/2000
IHC 1/200 - 1/1000
ICC 1/200 - 1/1000
ELISA 1/10000