请登录
搜索 英文站
栏目

提醒成功

请输入手机号/邮箱号
请输入密码

账号密码登录

微信/QQ登录 微信/QQ登录

没有账号? 立即注册

搜索
Western blot analysis using CK8 mouse mAb against A549 (1), Hela (2), MCF-7 (3), A431 (4) and HepG2 (5) cell lysate.
Confocal Immunofluorescence analysis of methanol-fixed ECA109 cells (left) and HepG2 cells (right) using CK8 mouse mAb (green), showing cytoplasmic localization. Blue: DRAQ5 fluorescent DNA dye.
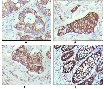
Immunohistochemical analysis of paraffin-embedded human breast carcinoma (A), lung cancer (B) and ovarian cancer tissue (C), showing membrane and cytoplasmic localization with DAB staining using CK8 mouse mAb.
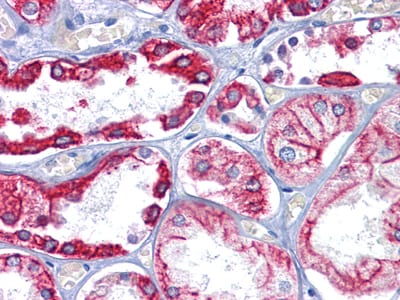
Immunohistochemical analysis of paraffin-embedded human Kidney tissues using CK8 mouse mAb

Mouse Monoclonal Antibody to Cytokeratin 8

  • 货号:

    20280
  • 别名:

    CK8; CYK8; K2C8; KRT8
  • 应用:

    WB,IHC,ICC
  • 反应种属:

    Human
  • 规格:

  • 数量:

    -
    +
  • 说明书:

    目录价¥2180

加入购物车

Mouse Monoclonal Antibody to Cytokeratin 8

Description
Cytokeratin 8, also known as CK8, KRT8, K8. Entrez Protein NP_002264. It is a member of the type II keratin family.Type I and type II keratins heteropolymerize to form intermediate-sized filaments in the cytoplasm of epithelial cells.It typically dimerizes with keratin 18 to form an intermediate filament in simple single-layered epithelial cells. This protein plays a role in maintaining cellular structural integrity and also functions in signal transduction and cellular differentiation. Mutations in this gene cause cryptogenic cirrhosis.
References
1. Cancer Genet Cytogenet. 2007 Oct 15;178(2):94-103.
2. Cancer Lett. 2008 Jul 8;265(2):188-96.
Specification
Aliases CK8; CYK8; K2C8; KRT8
Entrez GeneID 3856
Swissprot P05787
clone 8A5D12
WB Predicted band size 54kDa
Host/Isotype Mouse IgG1
Antibody Type Primary antibody
Storage Store at 4°C short term. Aliquot and store at -20°C long term. Avoid freeze/thaw cycles.
Species Reactivity Human
Immunogen Purified recombinant fragment of human Cytokeratin (aa391-483) expressed in E. Coli.
Formulation Ascitic fluid containing 0.03% sodium azide.
Application
WB 1/500 - 1/2000
IHC 1/200 - 1/1000
ICC 1/200 - 1/1000
ELISA 1/10000