提醒成功
搜索
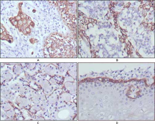
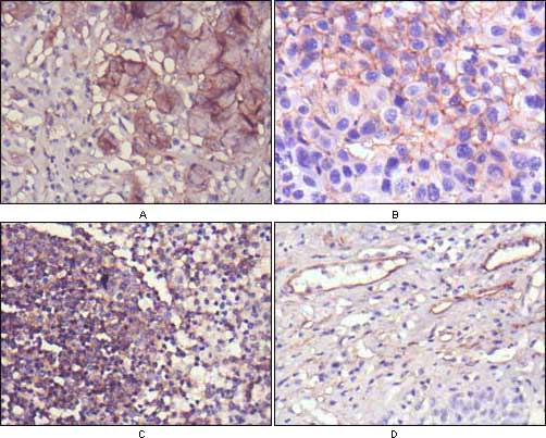
Mouse Monoclonal Antibody to CK17
| Description |
|---|
| CK17, also known as KRT17, it is the type I intermediate filament chain keratin 17. It is found in nail beds, hair follicles, sebaceous glands, and other epidermal appendages. Mutations in this gene lead to Jackson-Lawler type pachyonychia congenita and steatocystoma multiplex. May play a role in the formation and maintenance of various skin appendages, specifically in determining shape and orientation of hair. May be a marker of basal cell differentiation in complex epithelia and therefore indicative of a certain type of epithelial "stem cells". May act as an autoantigen in the immunopathogenesis of psoriasis, with certain peptide regions being a major target for autoreactive T-cells and hence causing their proliferation. Required for the correct growth of hair follicles, in particular for the persistence of the anagen (growth) state. Modulates the function of TNF-alpha in the specific context of hair cycling. Regulates protein synthesis and epithelial cell growth through binding to the adapter protein SFN and by stimulating Akt/mTOR pathway. Involved in tissue repair. |
| References |
|---|
| 1. Am J Pathol. 2002 Dec;161(6):1991-6. 2. Br J Dermatol. 1995 Oct;133(4):501-11. |
| Specification | |
|---|---|
| Aliases | PC; K17; PC2; PCHC1; KRT17 |
| Entrez GeneID | 3872 |
| Swissprot | Q04695 |
| clone | 3B12 |
| WB Predicted band size | 49kDa |
| Host/Isotype | Mouse IgG2b |
| Antibody Type | Primary antibody |
| Storage | Store at 4°C short term. Aliquot and store at -20°C long term. Avoid freeze/thaw cycles. |
| Species Reactivity | Human |
| Immunogen | Purified recombinant fragment of CK17 expressed in E. Coli. |
| Formulation | Ascitic fluid containing 0.03% sodium azide. |
| Application | |
|---|---|
| WB | 1/500 - 1/2000 |
| IHC | 1/200 - 1/1000 |
| ELISA | 1/10000 |
Product Image
For Reseach Only
Application Key:WB - Western Blot | IHC - Immunohistochemistry | ICC - Immunocytochemistry | FCM - Flow Cytometry | ELISA - Enzyme-linked Immunosorbent Assay | IP - Immunoprecipitation
#20363
相关产品

微信/QQ登录


首页
