提醒成功
搜索
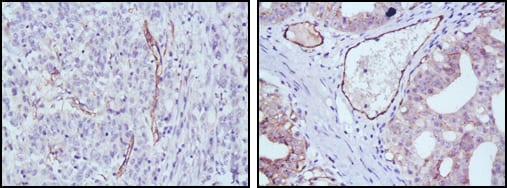
Mouse Monoclonal Antibody to eNOS
| Description |
|---|
| Endothelial nitric-oxide synthase (eNOS), also known as NOS3, it is an important enzyme in the cardiovascular system. It is a reactive free radical which acts as a biologic mediator in several processes, including neurotransmission and antimicrobial and antitumoral activities. Nitric oxide is synthesized from L-arginine by nitric oxide synthases. Variations in this gene are associated with susceptibility to coronary spasm. |
| References |
|---|
| 1. Nature. 1999 Jun 10;399(6736):601-5. 2. Oncol Rep. 2004 Nov;12(5):1007-11. 3. Breast Cancer Res Treat. 2008 May;109(1):181-2. |
| Specification | |
|---|---|
| Aliases | ECNOS; NOS3 |
| Entrez GeneID | 4846 |
| Swissprot | P29474 |
| clone | 6H2 |
| WB Predicted band size | 133kDa |
| Host/Isotype | Mouse IgG1 |
| Antibody Type | Primary antibody |
| Storage | Store at 4°C short term. Aliquot and store at -20°C long term. Avoid freeze/thaw cycles. |
| Species Reactivity | Human |
| Immunogen | Purified recombinant fragment of human eNOS expressed in E. Coli. |
| Formulation | Ascitic fluid containing 0.03% sodium azide. |
| Application | |
|---|---|
| IHC | 1/200 - 1/1000 |
| ELISA | 1/10000 |
Product Image
For Reseach Only
Application Key:WB - Western Blot | IHC - Immunohistochemistry | ICC - Immunocytochemistry | FCM - Flow Cytometry | ELISA - Enzyme-linked Immunosorbent Assay | IP - Immunoprecipitation
#20397
相关产品

微信/QQ登录


首页
