提醒成功
搜索
Mouse Monoclonal Antibody to CHD3
| Description |
|---|
| This gene encodes a member of the CHD family of proteins which are characterized by the presence of chromo (chromatin organization modifier) domains and SNF2-related helicase/ATPase domains. This protein is one of the components of a histone deacetylase complex referred to as the Mi-2/NuRD complex which participates in the remodeling of chromatin by deacetylating histones. Chromatin remodeling is essential for many processes including transcription. Autoantibodies against this protein are found in a subset of patients with dermatomyositis. Three alternatively spliced transcripts encoding different isoforms have been described. |
| References |
|---|
| 1. Virus Res. 2003 Dec;98(1):83-91. 2. Mol Cell. 2004 Sep 24;15(6):853-65. 3. J Biol Chem. 2008 Dec 12;283(50):34976-82. |
| Specification | |
|---|---|
| Aliases | ZFH; Mi-2a; Mi2-ALPHA; CHD3 |
| Entrez GeneID | 1107 |
| Swissprot | Q12873 |
| clone | 2G4 |
| WB Predicted band size | 226kDa |
| Host/Isotype | Mouse IgG1 |
| Antibody Type | Primary antibody |
| Storage | Store at 4°C short term. Aliquot and store at -20°C long term. Avoid freeze/thaw cycles. |
| Species Reactivity | Human,Mouse |
| Immunogen | Purified recombinant fragment of human CHD3 expressed in E. Coli. |
| Formulation | Purified antibody in PBS with 0.05% sodium azide. |
| Application | |
|---|---|
| WB | 1/500 - 1/2000 |
| IHC | 1/200 - 1/1000 |
| ICC | 1/200 - 1/1000 |
| FCM | 1/200 - 1/400 |
| ELISA | 1/10000 |
Product Image
- Western blot analysis using CHD3 mouse mAb against Hela (1), K562 (2), Jurkat (3), NTERA-2 (4), HEK293 (5), Raji (6) cell lysate and mouse brain (7) tissue lysate.
- Immunofluorescence analysis of Hela cells using CHD3 mouse mAb (green). Blue: DRAQ5 fluorescent DNA dye.
- Flow cytometric analysis of K562 cells using CHD3 mouse mAb (green) and negative control (purple).
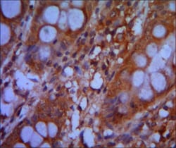
- Immunohistochemical analysis of paraffin-embedded human colon cancer tissues using CHD3 mouse mAb with DAB staining.
For Reseach Only
Application Key:WB - Western Blot | IHC - Immunohistochemistry | ICC - Immunocytochemistry | FCM - Flow Cytometry | ELISA - Enzyme-linked Immunosorbent Assay | IP - Immunoprecipitation
#20422
相关产品

微信/QQ登录


首页
