提醒成功
搜索
Mouse Monoclonal Antibody to Androgen receptor
| Description |
|---|
| The androgen receptor (AR), also known as NR3C4 (nuclear receptor subfamily 3, group C, member 4), is a type of nuclear receptor which is activated by binding of either of the androgenic hormones testosterone or dihydrotestosterone in the cytoplasm and then translocating into the nucleus. The androgen receptor is most closely related to the progesterone receptor, and progestins in higher dosages can block the androgen receptor. The main function of the androgen receptor is as a DNA binding transcription factor which regulates gene expression; however, the androgen receptor has other functions as well. Androgen regulated genes are critical for the development and maintenance of the male sexual phenotype. |
| References |
|---|
| 1. Chin Med J (Engl). 2009 Nov 20;122(22):2779-83. 2. Taiwan J Obstet Gynecol. 2009 Sep;48(3):262-7. 3. Prostate. 2008 Mar 1;68(4):453-61. 4. Cancer Res. 2007 May 15;67(10):4630-7. |
| Specification | |
|---|---|
| Aliases | NR3C4; KD; AIS; SMAX1; HUMARA; AR |
| Entrez GeneID | 367 |
| Swissprot | P10275 |
| clone | 2H8 |
| WB Predicted band size | 110kDa |
| Host/Isotype | Mouse IgG1 |
| Antibody Type | Primary antibody |
| Storage | Store at 4°C short term. Aliquot and store at -20°C long term. Avoid freeze/thaw cycles. |
| Species Reactivity | Human |
| Immunogen | Purified recombinant fragment of human AR expressed in E. Coli. |
| Formulation | Ascitic fluid containing 0.03% sodium azide. |
| Application | |
|---|---|
| WB | 1/500 - 1/2000 |
| IHC | 1/200 - 1/1000 |
| ELISA | 1/10000 |
Product Image
- Western blot analysis using Androgen receptor mouse mAb against K562 (1), Jurkat (2) and LNCaP (3) cell lysate.
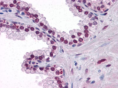
- Immunohistochemical analysis of paraffin-embedded human Prostate tissues using Androgen receptor mouse mAb
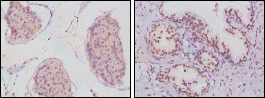
- Immunohistochemical analysis of paraffin-embedded human testis (left) and prostate cancer (right) tissues using Androgen Receptor mouse mAb with DAB staining.
For Reseach Only
Application Key:WB - Western Blot | IHC - Immunohistochemistry | ICC - Immunocytochemistry | FCM - Flow Cytometry | ELISA - Enzyme-linked Immunosorbent Assay | IP - Immunoprecipitation
#30007
相关产品

微信/QQ登录


首页
