请登录
搜索 英文站
栏目

提醒成功

请输入手机号/邮箱号
请输入密码

账号密码登录

微信/QQ登录 微信/QQ登录

没有账号? 立即注册

搜索
Figure3: Immunofluorescence analysis of K562 cells using anti-CD247 mAb (green). Blue: DRAQ5 fluorescent DNA dye.
Flow cytometric analysis of Jurkat cells using anti-CD247 mAb (green) and negative control (purple).
Immunohistochemical analysis of paraffin-embedded human Thymus tissues using anti-CD247 mouse mAb

Mouse Monoclonal Antibody to CD247

  • 货号:

    30017
  • 别名:

    T3Z; CD3H; CD3Q; CD3Z; TCRZ; CD3-ZETA; CD247
  • 应用:

    IHC,ICC,FCM
  • 反应种属:

    Human
  • 规格:

  • 数量:

    -
    +
  • 说明书:

    目录价¥2180

加入购物车

Mouse Monoclonal Antibody to CD247

Description
The protein encoded by this gene is T-cell receptor zeta, which together with T-cell receptor alpha/beta and gamma/delta heterodimers, and with CD3-gamma, -delta and -epsilon, forms the T-cell receptor-CD3 complex. The zeta chain plays an important role in coupling antigen recognition to several intracellular signal-transduction pathways. Low expression of the antigen results in impaired immune response. Two alternatively spliced transcript variants encoding distinct isoforms have been found for this gene.
References
1. J Immunol. 2002 Aug 15;169(4):1705-12.
2. Arthritis Rheum. 2003 Jul;48(7):1948-55.
3. Nat Methods. 2005 Aug;2(8):591-8.
Specification
Aliases T3Z; CD3H; CD3Q; CD3Z; TCRZ; CD3-ZETA; CD247
Entrez GeneID 919
Swissprot P20963
clone 4B10
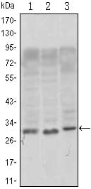
WB Predicted band size 18kDa
Host/Isotype Mouse IgG1
Antibody Type Primary antibody
Storage Store at 4°C short term. Aliquot and store at -20°C long term. Avoid freeze/thaw cycles.
Species Reactivity Human
Immunogen Purified recombinant fragment of human CD247 expressed in E. Coli.
Formulation Ascitic fluid containing 0.03% sodium azide.
Application
IHC 1/200 - 1/1000
ICC 1/200 - 1/1000
FCM 1/200 - 1/400
ELISA 1/10000

For Reseach Only

Application Key:WB - Western Blot | IHC - Immunohistochemistry | ICC - Immunocytochemistry | FCM - Flow Cytometry | ELISA - Enzyme-linked Immunosorbent Assay | IP - Immunoprecipitation

#30017