提醒成功
搜索
Mouse Monoclonal Antibody to NKX3A
| Description |
|---|
| Nkx3.1 is a transcription factor that may play an important role in regulating proliferation of glandular epithelium and in the formation of ducts in the prostate. It has been thought to be one of the target genes of the 8p21 loss of heterozygosity, common in prostate cancer. But neither disruption of the coding region of the gene, nor mutations have been found in prostate cancer. |
| References |
|---|
| 1. Exp Mol Med. 2006 Dec 31;38(6):625-33. 2. Exp Biol Med (Maywood). 2008 Mar;233(3):297-309. 3.Mol Biol Rep. 2010 Mar;37(3):1505-12. |
| Specification | |
|---|---|
| Aliases | NKX3; BAPX2; NKX3A; NKX3.1; NKX3-1 |
| Entrez GeneID | 4824 |
| Swissprot | Q99801 |
| clone | 4H4 |
| WB Predicted band size | 26.3kDa |
| Host/Isotype | Mouse IgG2b |
| Antibody Type | Primary antibody |
| Storage | Store at 4°C short term. Aliquot and store at -20°C long term. Avoid freeze/thaw cycles. |
| Species Reactivity | Human |
| Immunogen | Purified recombinant fragment of human NKX3A expressed in E. Coli. |
| Formulation | Ascitic fluid containing 0.03% sodium azide. |
| Application | |
|---|---|
| WB | 1/500 - 1/2000 |
| IHC | 1/200 - 1/1000 |
| FCM | 1/200 - 1/400 |
| ELISA | 1/10000 |
Product Image
- Western blot analysis using NKX3A mouse mAb against LNCaP (1) cell lysate.
- Flow cytometric analysis of PC-3 cells using anti-NKX3A mAb (green) and negative control (purple).
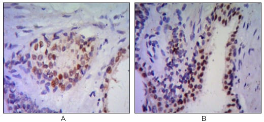
- Immunohistochemical analysis of paraffin-embedded human prostata tissues (A, B) using anti-NKX3A antibody with DAB staining.
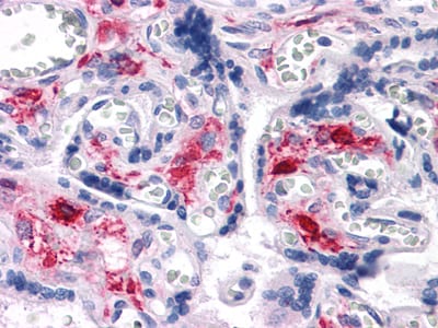
- Immunohistochemical analysis of paraffin-embedded human Liver tissues using NKX3A mAb
For Reseach Only
Application Key:WB - Western Blot | IHC - Immunohistochemistry | ICC - Immunocytochemistry | FCM - Flow Cytometry | ELISA - Enzyme-linked Immunosorbent Assay | IP - Immunoprecipitation
#30027
相关产品

微信/QQ登录


首页
