提醒成功
搜索
Mouse Monoclonal Antibody to CDH2
| Description |
|---|
| This gene is a classical cadherin from the cadherin superfamily. The encoded protein is a calcium dependent cell-cell adhesion glycoprotein comprised of five extracellular cadherin repeats, a transmembrane region and a highly conserved cytoplasmic tail. The protein functions during gastrulation and is required for establishment of left-right asymmetry. At certain central nervous system synapses, presynaptic to postsynaptic adhesion is mediated at least in part by this gene product. |
| References |
|---|
| 1. J Biol Chem. 2007 Mar 16;282(11):8545-56. 2. Mol Cell Biochem. 2007 Aug;302(1-2):19-26. 3. Urol Oncol. 2010 Mar-Apr;28(2):180-8. |
| Specification | |
|---|---|
| Aliases | CDHN; NCAD; CD325; CDw325;CDH2;Cadherin-2; Neural cadherin; N-cadherin; CD antigen CD325 |
| Entrez GeneID | 1000 |
| Swissprot | P19022 |
| clone | 5D5 |
| WB Predicted band size | 99.8kDa |
| Host/Isotype | Mouse IgG1 |
| Antibody Type | Primary antibody |
| Storage | Store at 4°C short term. Aliquot and store at -20°C long term. Avoid freeze/thaw cycles. |
| Species Reactivity | Human,Mouse,Rat |
| Immunogen | Purified recombinant fragment of human CDH2 expressed in E. Coli. |
| Formulation | Ascitic fluid containing 0.03% sodium azide. |
| Application | |
|---|---|
| WB | 1/500 - 1/2000 |
| IHC | 1/200 - 1/1000 |
| ICC | 1/200 - 1/1000 |
| FCM | 1/200 - 1/400 |
| ELISA | 1/10000 |
Product Image
- Western blot analysis using CDH2 mouse mAb against A431 (1), NIH/3T3 (2), Hela (3), C6 (4) and LNCap (5) cell lysate.
- Immunofluorescence analysis of A431 cells using CDH2 mouse mAb (green). Blue: DRAQ5 fluorescent DNA dye.
- Flow cytometric analysis of PC-2 cells using CDH2 mouse mAb (green) and negative control (purple).
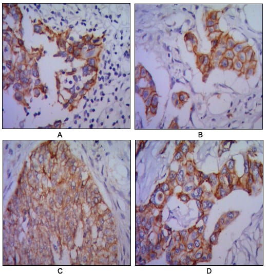
- Immunohistochemical analysis of paraffin-embedded human lung cancer (A), colon cancer (B), ovarian cancer (C) and mammary cancer(D), using CDH2 mouse mAb with DAB staining.
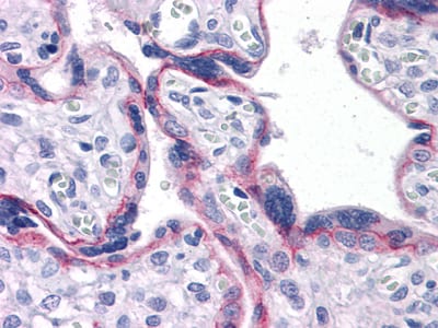
- Immunohistochemical analysis of paraffin-embedded human Placenta tissues using CDH2 mouse mAb
For Reseach Only
Application Key:WB - Western Blot | IHC - Immunohistochemistry | ICC - Immunocytochemistry | FCM - Flow Cytometry | ELISA - Enzyme-linked Immunosorbent Assay | IP - Immunoprecipitation
#30042
相关产品

微信/QQ登录


首页
