提醒成功
搜索
Mouse Monoclonal Antibody to BCL-10
| Description |
|---|
| Bcl-10 (B-cell CLL/lymphoma 10), also known as CLAP, Me10, CIPER, c-E10, CARMEN. Entrez Protein NP_003912. It is a protein containing a caspase recruitment domain (CARD). It plays an important role in apoptosis and activating NF-kappaB. The research suggested that it interacted with other CARD domain containing proteins including CARD9, 10, 11 and 14, which were thought to function as upstream regulators in NF-kappaB signaling. Bcl-10 is found to form a complex with MALT1 which encoded by another gene known to be translocated in MALT lymphoma. MALT1 and Bcl-10 are thought to synergize in the activation of NF-kappaB, and the deregulation of either of them may contribute to the same pathogenetic process that leads to the malignancy. |
| References |
|---|
| 1. Willis, T.G., et al. (1999) Cell. 96, 35-45. 2. Lucas, P.C., et al. (2001) J. Biol.Chem. 276, 19012-19019. 3. Wang, L., et al. (2001) J. Biol.Chem. 276, 21405-21409 |
| Specification | |
|---|---|
| Aliases | CLAP; Me10; CIPER; c-E10; CARMEN |
| Entrez GeneID | 8915 |
| Swissprot | O95999 |
| clone | 4F8 |
| WB Predicted band size | 26kDa |
| Host/Isotype | Mouse IgG1 |
| Antibody Type | Primary antibody |
| Storage | Store at 4°C short term. Aliquot and store at -20°C long term. Avoid freeze/thaw cycles. |
| Species Reactivity | Human,Mouse |
| Immunogen | Purified recombinant fragment of human BCL-10 expressed in E. Coli. |
| Formulation | Ascitic fluid containing 0.03% sodium azide. |
| Application | |
|---|---|
| WB | 1/500 - 1/2000 |
| IHC | 1/200 - 1/1000 |
| ICC | 1/200 - 1/1000 |
| FCM | 1/200 - 1/400 |
| ELISA | 1/10000 |
Product Image
- Western blot analysis using BCL10 mouse mAb against NIH/3T3 (1), Hela (2), MCF-7 (3) and Jurkat (4) cell lysate.
- Confocal Immunofluorescence analysis of Hela cells using BCL10 mouse mAb (green). Red: Actin filaments have been labeled with Alexa Fluor-555 phalloidin. Blue: DRAQ5 fluorescent DNA dye.
- Flow cytometric analysis of Hela cells using BCL10 mouse mAb (green) and negative control (purple).
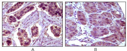
- Immunohistochemical analysis of paraffin-embedded human breast carcinoma (A) and liver carcinoma (B), showing cytoplasmic localization using BCL10 mouse mAb with DAB staining.
For Reseach Only
Application Key:WB - Western Blot | IHC - Immunohistochemistry | ICC - Immunocytochemistry | FCM - Flow Cytometry | ELISA - Enzyme-linked Immunosorbent Assay | IP - Immunoprecipitation
#20003
相关产品

微信/QQ登录


首页
