提醒成功
搜索
Mouse Monoclonal Antibody to BIRC5
| Description |
|---|
| This gene is a member of the inhibitor of apoptosis (IAP) gene family, which encode negative regulatory proteins that prevent apoptotic cell death. IAP family members usually contain multiple baculovirus IAP repeat (BIR) domains, but this gene encodes proteins with only a single BIR domain. The encoded proteins also lack a C-terminus RING finger domain. Gene expression is high during fetal development and in most tumors, yet low in adult tissues. Alternatively spliced transcript variants encoding distinct isoforms have been found for this gene. |
| References |
|---|
| 1. BMC Cancer. 2010 Feb 24;10:65. 2. Int J Cancer. 2009 Oct 15;125(8):1921-5. |
| Specification | |
|---|---|
| Aliases | API4; EPR-1 |
| Entrez GeneID | 332 |
| Swissprot | O15392 |
| clone | 1H5 |
| WB Predicted band size | 16kDa |
| Host/Isotype | Mouse IgG1 |
| Antibody Type | Primary antibody |
| Storage | Store at 4°C short term. Aliquot and store at -20°C long term. Avoid freeze/thaw cycles. |
| Species Reactivity | Human |
| Immunogen | Purified recombinant fragment of human BIRC5 expressed in E. Coli. |
| Formulation | Purified antibody in PBS with 0.05% sodium azide |
| Application | |
|---|---|
| WB | 1/500 - 1/2000 |
| IHC | 1/200 - 1/1000 |
| ICC | 1/200 - 1/1000 |
| FCM | 1/200 - 1/400 |
| ELISA | 1/10000 |
Product Image
- Black line: Control Antigen (100 ng); Purple line: Antigen(10ng); Blue line: Antigen (50 ng); Red line: Antigen (100 ng);
- Immunofluorescence analysis of MSCS cells using BIRC5 mouse mAb (green). Blue: DRAQ5 fluorescent DNA dye. Red: Actin filaments have been labeled with Alexa Fluor-555 phalloidin.
- Flow cytometric analysis of Jurkat cells using BIRC5 mouse mAb (green) and negative control (red).
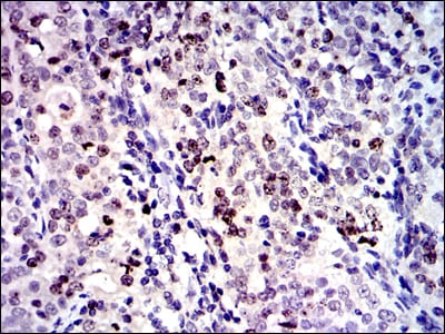
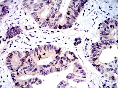
- Immunohistochemical analysis of paraffin-embedded human cervical cancer tissues using BIRC5 mouse mAb with DAB staining.
- Immunohistochemical analysis of paraffin-embedded human colon cancer tissues using BIRC5 mouse mAb with DAB staining.
For Reseach Only
Application Key:WB - Western Blot | IHC - Immunohistochemistry | ICC - Immunocytochemistry | FCM - Flow Cytometry | ELISA - Enzyme-linked Immunosorbent Assay | IP - Immunoprecipitation
#30303
相关产品

微信/QQ登录


首页
