提醒成功
搜索
Mouse Monoclonal Antibody to TWIST1
| Description |
|---|
| Basic helix-loop-helix (bHLH) transcription factors have been implicated in cell lineage determination and differentiation. The protein encoded by this gene is a bHLH transcription factor and shares similarity with another bHLH transcription factor, Dermo1. The strongest expression of this mRNA is in placental tissue; in adults, mesodermally derived tissues express this mRNA preferentially. Mutations in this gene have been found in patients with Saethre-Chotzen syndrome. |
| References |
|---|
| 1. Cancer Res. 2013 Jan 15;73(2):662-71. 2. Cancer Res. 2012 Dec 15;72(24):6382-92. |
| Specification | |
|---|---|
| Aliases | SCS; ACS3; CRS1; BPES2; BPES3; TWIST; bHLHa38 |
| Entrez GeneID | 7291 |
| Swissprot | Q15672 |
| clone | 10E4E6 |
| WB Predicted band size | 21kDa |
| Host/Isotype | Mouse IgG1 |
| Antibody Type | Primary antibody |
| Storage | Store at 4°C short term. Aliquot and store at -20°C long term. Avoid freeze/thaw cycles. |
| Species Reactivity | Human,Mouse |
| Immunogen | Purified recombinant fragment of human TWIST1 (AA: 9-74) expressed in E. Coli. |
| Formulation | Purified antibody in PBS with 0.05% sodium azide |
| Application | |
|---|---|
| WB | 1/500 - 1/2000 |
| IHC | 1/200 - 1/1000 |
| ICC | 1/200 - 1/1000 |
| FCM | 1/200 - 1/400 |
| ELISA | 1/10000 |
Product Image
- Black line: Control Antigen (100 ng); Purple line: Antigen(10ng); Blue line: Antigen (50 ng); Red line: Antigen (100 ng);
- Western blot analysis using TWIST1 mouse mAb against NIH/3T3 (1), JURKAT (2), HELA (3), A549 (4), RAJI (5) and OCM-1 (6) cell lysate.
- Immunofluorescence analysis of Hela cells using TWIST1 mouse mAb (green). Blue: DRAQ5 fluorescent DNA dye.
- Flow cytometric analysis of Hela cells using TWIST1 mouse mAb (green) and negative control (red).
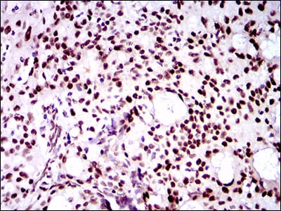
- Immunohistochemical analysis of paraffin-embedded human cervical cancer tissues using TWIST1 mouse mAb with DAB staining.
- Immunohistochemical analysis of paraffin-embedded human colon cancer tissues using TWIST1 mouse mAb with DAB staining.
For Reseach Only
Application Key:WB - Western Blot | IHC - Immunohistochemistry | ICC - Immunocytochemistry | FCM - Flow Cytometry | ELISA - Enzyme-linked Immunosorbent Assay | IP - Immunoprecipitation
#30506
相关产品

微信/QQ登录


首页
