提醒成功
搜索
Mouse Monoclonal Antibody to NAPSA
| Description |
|---|
| The activation peptides of aspartic proteinases plays role as inhibitors of the active site. These peptide segments, or pro-parts, are deemed important for correct folding, targeting, and control of the activation of aspartic proteinase zymogens. The pronapsin A gene is expressed predominantly in lung and kidney. Its translation product is predicted to be a fully functional, glycosylated aspartic proteinase precursor containing an RGD motif and an additional 18 residues at its C-terminus. |
| References |
|---|
| 1. Lung Cancer. 2012 Jul;77(1):156-61. 2. Cancer Cytopathol. 2011 Oct 25;119(5):335-45. |
| Specification | |
|---|---|
| Aliases | KAP; Kdap; NAP1; NAPA; SNAPA |
| Entrez GeneID | 9476 |
| Swissprot | O96009 |
| clone | 10C4B8 |
| WB Predicted band size | 45.4kDa |
| Host/Isotype | Mouse IgG1 |
| Antibody Type | Primary antibody |
| Storage | Store at 4°C short term. Aliquot and store at -20°C long term. Avoid freeze/thaw cycles. |
| Species Reactivity | Human,Rat |
| Immunogen | Purified recombinant fragment of human NAPSA (AA: 20-158) expressed in E. Coli. |
| Formulation | Purified antibody in PBS with 0.05% sodium azide |
| Application | |
|---|---|
| WB | 1/500 - 1/2000 |
| IHC | 1/200 - 1/1000 |
| ELISA | 1/10000 |
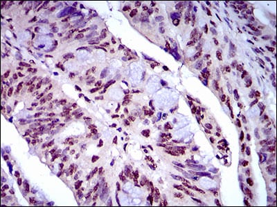
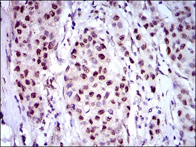
Product Image
- Black line: Control Antigen (100 ng); Purple line: Antigen(10ng); Blue line: Antigen (50 ng); Red line: Antigen (100 ng);
- Western blot analysis using NAPSA mouse mAb against rat liver tissue lysate.
- Immunohistochemical analysis of paraffin-embedded human rectum cancer tissues using NAPSA mouse mAb with DAB staining.
- Immunohistochemical analysis of paraffin-embedded human liver cancer tissues using NAPSA mouse mAb with DAB staining.
For Reseach Only
Application Key:WB - Western Blot | IHC - Immunohistochemistry | ICC - Immunocytochemistry | FCM - Flow Cytometry | ELISA - Enzyme-linked Immunosorbent Assay | IP - Immunoprecipitation
#30515
相关产品

微信/QQ登录


首页
