提醒成功
搜索
Mouse Monoclonal Antibody to CFLAR
| Description |
|---|
| The protein encoded by this gene is a regulator of apoptosis and is structurally similar to caspase-8. However, the encoded protein lacks caspase activity and appears to be itself cleaved into two peptides by caspase-8. Several transcript variants encoding different isoforms have been found for this gene, and partial evidence for several more variants exists. |
| References |
|---|
| 1. Pediatr Blood Cancer. 2013 Apr;60(4):575-9. 2. J Cell Biochem. 2012 Dec;113(12):3692-700. |
| Specification | |
|---|---|
| Aliases | CASH; FLIP; MRIT; CLARP; FLAME; Casper; FLAME1; c-FLIP; FLAME-1; I-FLICE; c-FLIPL; c-FLIPR; c-FLIPS; CASP8AP1 |
| Entrez GeneID | 8837 |
| Swissprot | O15519 |
| clone | 6G11A6 |
| WB Predicted band size | 55.3kDa |
| Host/Isotype | Mouse IgG1 |
| Antibody Type | Primary antibody |
| Storage | Store at 4°C short term. Aliquot and store at -20°C long term. Avoid freeze/thaw cycles. |
| Species Reactivity | Human |
| Immunogen | Purified recombinant fragment of human CFLAR (AA: 100-251) expressed in E. Coli. |
| Formulation | Purified antibody in PBS with 0.05% sodium azide |
| Application | |
|---|---|
| IHC | 1/200 - 1/1000 |
| ELISA | 1/10000 |
Product Image
- Black line: Control Antigen (100 ng); Purple line: Antigen(10ng); Blue line: Antigen (50 ng); Red line: Antigen (100 ng);
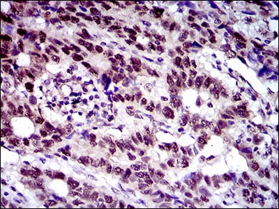
- Immunohistochemical analysis of paraffin-embedded human cervical cancer tissues using CFLAR mouse mAb with DAB staining.
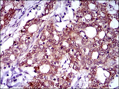
- Immunohistochemical analysis of paraffin-embedded human esophageal cancer tissues using CFLAR mouse mAb with DAB staining.
For Reseach Only
Application Key:WB - Western Blot | IHC - Immunohistochemistry | ICC - Immunocytochemistry | FCM - Flow Cytometry | ELISA - Enzyme-linked Immunosorbent Assay | IP - Immunoprecipitation
#30517
相关产品

微信/QQ登录


首页
