提醒成功
搜索
Mouse Monoclonal Antibody to GPNMB
| Description |
|---|
| The protein encoded by this gene is a type I transmembrane glycoprotein which shows homology to the pMEL17 precursor, a melanocyte-specific protein. GPNMB shows expression in the lowly metastatic human melanoma cell lines and xenografts but does not show expression in the highly metastatic cell lines. GPNMB may be involved in growth delay and reduction of metastatic potential. Two transcript variants encoding different isoforms have been found for this gene. |
| References |
|---|
| 1. Prostate. 2012 Sep 15;72(13):1431-42. 2. Melanoma Res. 2010 Jun;20(3):184-90. |
| Specification | |
|---|---|
| Aliases | NMB; HGFIN |
| Entrez GeneID | 10457 |
| Swissprot | Q14956 |
| clone | 7C10E5 |
| WB Predicted band size | 64kDa |
| Host/Isotype | Mouse IgG1 |
| Antibody Type | Primary antibody |
| Storage | Store at 4°C short term. Aliquot and store at -20°C long term. Avoid freeze/thaw cycles. |
| Species Reactivity | Human |
| Immunogen | Purified recombinant fragment of human GPNMB (AA: 31-260) expressed in E. Coli. |
| Formulation | Purified antibody in PBS with 0.05% sodium azide |
| Application | |
|---|---|
| WB | 1/500 - 1/2000 |
| IHC | 1/200 - 1/1000 |
| ELISA | 1/10000 |
Product Image
- Black line: Control Antigen (100 ng); Purple line: Antigen(10ng); Blue line: Antigen (50 ng); Red line: Antigen (100 ng);
- Western blot analysis using GPNMB mouse mAb against PANC1 (1) and PC-3 (2) cell lysate.
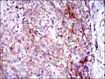
- Immunohistochemical analysis of paraffin-embedded human breast cancer tissues using GPNMB mouse mAb with DAB staining.
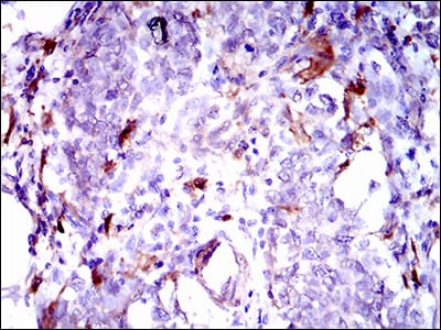
- Immunohistochemical analysis of paraffin-embedded human esophagus cancer tissues using GPNMB mouse mAb with DAB staining.
For Reseach Only
Application Key:WB - Western Blot | IHC - Immunohistochemistry | ICC - Immunocytochemistry | FCM - Flow Cytometry | ELISA - Enzyme-linked Immunosorbent Assay | IP - Immunoprecipitation
#30520
相关产品

微信/QQ登录


首页
