请登录
搜索 英文站
栏目

提醒成功

请输入手机号/邮箱号
请输入密码

账号密码登录

微信/QQ登录 微信/QQ登录

没有账号? 立即注册

搜索
Black line: Control Antigen (100 ng);Purple line: Antigen (10ng); Blue line: Antigen (50 ng); Red line:Antigen (100 ng)
Western blot analysis using CD2 mouse mAb against MOLT4 (1), MCF-7 (2), L1210 (3), U937 (4), and NIH3T3 (5) cell lysate.
Flow cytometric analysis of Hela cells using CD2 mouse mAb (green) and negative control (red).
Flow cytometric analysis of HepG2 cells using CD2 mouse mAb (green) and negative control (red).
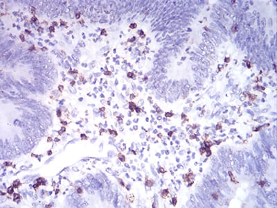
Immunohistochemical analysis of paraffin-embedded human rectum cancer tissues using CD2 mouse mAb with DAB staining.
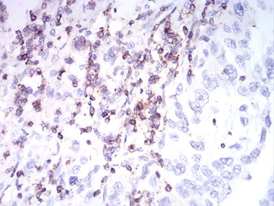
Immunohistochemical analysis of paraffin-embedded human endometrial cancer tissues using CD2 mouse mAb with DAB staining.

Mouse Monoclonal Antibody to CD2

  • 货号:

    31026
  • 别名:

    T11; SRBC; LFA-2
  • 应用:

    WB,IHC,FCM
  • 反应种属:

    Mouse
  • 规格:

  • 数量:

    -
    +
  • 说明书:

    目录价¥2180

加入购物车

Mouse Monoclonal Antibody to CD2

Description
CD2 is a surface antigen of the human T-lymphocyte lineage that is expressed on all peripheral blood T cells (summarized by Sewell et al., 1986 [PubMed 3490670]). It is one of the earliest T-cell markers, being present on more than 95% of thymocytes; it is also found on some natural killer cells but not on B lymphocytes. Monoclonal antibodies directed against CD2 inhibit the formation of rosettes with sheep erythrocytes, indicating that CD2 is the erythrocyte receptor or is closely associated with it.
References
1.J Virol. 2013 Aug;87(16):9148-58.
2.PLoS One. 2012;7(10):e47664.
Specification
Aliases T11; SRBC; LFA-2
Entrez GeneID 914
Swissprot P06729
clone 3D1E3
WB Predicted band size 39.4kDa
Host/Isotype Mouse IgG1
Antibody Type Primary antibody
Storage Store at 4°C short term. Aliquot and store at -20°C long term. Avoid freeze/thaw cycles.
Species Reactivity Mouse
Immunogen Purified recombinant fragment of human CD2 (AA: 25-140) expressed in E. Coli.
Formulation Purified antibody in PBS with 0.05% sodium azide
Application
WB 1/500 - 1/2000
IHC 1/200 - 1/1000
FCM 1/200 - 1/400
ELISA 1/10000