请登录
搜索 英文站
栏目

提醒成功

请输入手机号/邮箱号
请输入密码

账号密码登录

微信/QQ登录 微信/QQ登录

没有账号? 立即注册

搜索
Confocal Immunofluorescence analysis of PANC-1 cells using SORL1 mouse mAb (green). Red: Actin filaments have been labeled with Alexa Fluor-555 phalloidin. Blue: DRAQ5 fluorescent DNA dye.
Immunohistochemical analysis of paraffin-embedded human cerebrum tissues using SORL1 mouse mAb with DAB staining.
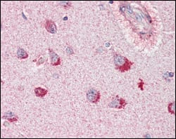
Immunohistochemical analysis of paraffin-embedded human brain, cortex tissues using SORL1 mouse mAb.

Mouse Monoclonal Antibody to SORL1

  • 货号:

    20150
  • 别名:

    SORL1
  • 应用:

    IHC,ICC
  • 反应种属:

    Human
  • 规格:

  • 数量:

    -
    +
  • 说明书:

    目录价¥2180

加入购物车

Mouse Monoclonal Antibody to SORL1

Description
SORL1 (sortilin-related receptor, L A repeats containing) also known as sorting protein-related receptor containing LDLR class A (SorLA), is a Type I membrane protein that may be involved in cell-cell interaction. SorLA, a single transmembrane receptor, binds LDL and transports it into cells by endocytosis. SorLA is synthesized as a proreceptor which is processed to the mature form by a furin-like propeptidase. It can also bind to RAP (receptor-associated protein). SorLA is a multifunctional endocytis receptor important in lipoprotein and protease uptake. The N-terminal propeptide, which is removed, can be cleaved by furin or homologous proteases. Endogenous SorLA binds the neuropeptide head activator (HA) and is important for HA signaling and function. The gene encoding for the protein maps to chromosome 8p23.1. SorLA is expressed mainly in brain (cerebral cortex, cerebellum and the occipital pole), but can also be found in liver, spinal cord, kidney, testis and pancreas.
References
1. Scherzer CR. Offe K. Gearing M. et al. Arch Neurol. 2004, Aug, 61(8):1200-5.
2. Gabrielsson BG. Olofsson LE. Sjogren A. et al. Obes Res. 2005, Apr, 13(4):649-52.
3. Shah S. Yu G. Mol Interv. 2006, Apr, 6(2):74-6, 58. Review.
Specification
Aliases SORL1
Entrez GeneID 6653
Swissprot Q92673
clone 3B6B11
Host/Isotype Mouse IgG1
Antibody Type Primary antibody
Storage Store at 4°C short term. Aliquot and store at -20°C long term. Avoid freeze/thaw cycles.
Species Reactivity Human
Immunogen Purified recombinant fragment of human SORL1 expressed in E. Coli.
Formulation Ascitic fluid containing 0.03% sodium azide.
Application
IHC 1/200 - 1/1000
ICC 1/200 - 1/1000
ELISA 1/10000