提醒成功
搜索
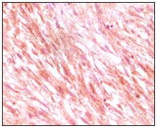
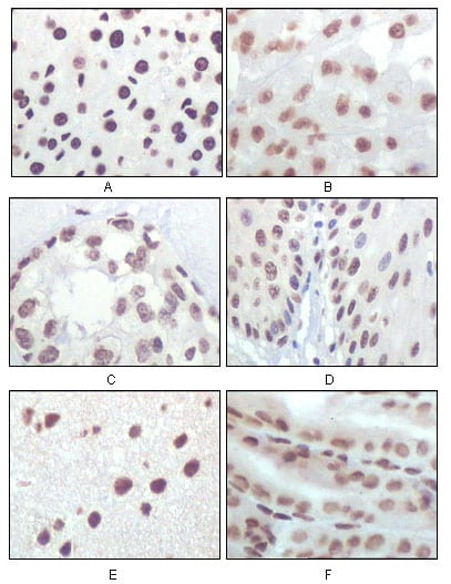
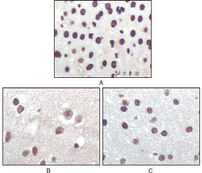
Mouse Monoclonal Antibody to PR
| Description |
|---|
| PR(progesterone receptor), with 933-amino acid protein (about 110kDa), a member of the steroid receptor superfamily, mediates the physiologic effects of progesterone, PR is mediated by two functionally different isoforms of the progesterone receptor, the full length PR-B and the short form PR-A. The PR-A and PR-B proteins are 94 kDa and 114 kDa respectively. That are equimolar in the normal breast but dysregulated in advanced disease. PR is prognostic markers in breast cancers irrespective of the patient's progestational status Human progesterone. |
| References |
|---|
| 1. McGuire, W.L., et al. 1986. Cancer.Surv.5:527-536. 2. Helena CD, Curt WB, Paul V,et al. 2000. J.Clin. Pathol. 53:201-205. 3. Wen, D.X., et al. 1994.Mol.Cell.Biol.14:8356-8364. 4. GM Clark, CK Osborne, WL McGuire.1984.J. Clin. Oncol., 2:1102-1109. |
| Specification | |
|---|---|
| Aliases | PR; NR3C3; PGR |
| Entrez GeneID | 5241 |
| Swissprot | P06401 |
| clone | 2F12B4 |
| Host/Isotype | Mouse IgG1 |
| Antibody Type | Primary antibody |
| Storage | Store at 4°C short term. Aliquot and store at -20°C long term. Avoid freeze/thaw cycles. |
| Species Reactivity | Human |
| Immunogen | Purified recombinant fragment of PR expressed in E. Coli. |
| Formulation | Ascitic fluid containing 0.03% sodium azide. |
| Application | |
|---|---|
| IHC | 1/200 - 1/1000 |
| ELISA | 1/10000 |
For Reseach Only
Application Key:WB - Western Blot | IHC - Immunohistochemistry | ICC - Immunocytochemistry | FCM - Flow Cytometry | ELISA - Enzyme-linked Immunosorbent Assay | IP - Immunoprecipitation
#20107
相关产品

微信/QQ登录


首页
