请登录
搜索 英文站
栏目

提醒成功

请输入手机号/邮箱号
请输入密码

账号密码登录

微信/QQ登录 微信/QQ登录

没有账号? 立即注册

搜索
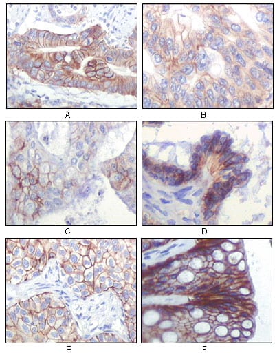
Immunohistochemical analysis of paraffin-embedded rat liver tissue (A), human brain tumor (B), breast cancer (C), esophageal epithelium tissue (D), mouse brain tissue (E) and stomach tisue (F), showing nuclear localization using P16 mouse mAb with DAB staining.

Mouse Monoclonal Antibody to P16 (Mouse and Human)

  • 货号:

    20130
  • 别名:

    P16
  • 应用:

    IHC
  • 反应种属:

    Human,Mouse,Rat
  • 规格:

  • 数量:

    -
    +
  • 说明书:

    目录价¥2180

加入购物车

Mouse Monoclonal Antibody to P16 (Mouse and Human)

Description
The progression of cells through the cell cycle is regulated by a family of protein kinases known as cyclin-dependent kinases (Cdks). The sequential activation of individual members of this family and their consequent phosphorylation of critical substrates promotes orderly progression through the cell cycle. The cyclins function as differentially expressed positive regulators of Cdks. Negative regulators of the cycle include the p53-inducible 21 kDa WAF1/Cip1 protein designated p21, Kip1 p27 and p16. The complexes formed by Cdk4 and the D-type cyclins have been strongly implicated in the control of cell proliferation during the G1 phase. It has recently been shown that p16 binds to Cdk4 and inhibits the catalytic activity of the Cdk4/cyclin D complex. Moreover, the gene encoding p16 exhibits a high frequency of homozygous deletions and point mutations in established human tumor cell lines.
References
1. Hunter, T. 1993. Cell 75: 839-841.
2. Sherr, C.J. 1993. Cell 73: 1059-1065.
3. El-Deiry, W.S., et al. 1993. Cell 75: 817-825.
Specification
Aliases P16
Entrez GeneID 1029
Swissprot P42771
clone 1E12E10
Host/Isotype Mouse IgG1
Antibody Type Primary antibody
Storage Store at 4°C short term. Aliquot and store at -20°C long term. Avoid freeze/thaw cycles.
Species Reactivity Human,Mouse,Rat
Immunogen Purified recombinant fragment of P16 expressed in E. Coli.
Formulation Ascitic fluid containing 0.03% sodium azide.
Application
IHC 1/200 - 1/1000
ELISA 1/10000

For Reseach Only

Application Key:WB - Western Blot | IHC - Immunohistochemistry | ICC - Immunocytochemistry | FCM - Flow Cytometry | ELISA - Enzyme-linked Immunosorbent Assay | IP - Immunoprecipitation

#20130