提醒成功
搜索
Mouse Monoclonal Antibody to ACHE
| Description |
|---|
| Acetylcholinesterase hydrolyzes the neurotransmitter, acetylcholine at neuromuscular junctions and brain cholinergic synapses, and thus terminates signal transmission. It is also found on the red blood cell membranes, where it constitutes the Yt blood group antigen. Acetylcholinesterase exists in multiple molecular forms which possess similar catalytic properties, but differ in their oligomeric assembly and mode of cell attachment to the cell surface. It is encoded by the single ACHE gene, and the structural diversity in the gene products arises from alternative mRNA splicing, and post-translational associations of catalytic and structural subunits. The major form of acetylcholinesterase found in brain, muscle and other tissues is the hydrophilic species, which forms disulfide-linked oligomers with collagenous, or lipid-containing structural subunits. The other, alternatively spliced form, expressed primarily in the erythroid tissues, differs at the C-terminal end, and contains a cleavable hydrophobic peptide with a GPI-anchor site. It associates with the membranes through the phosphoinositide (PI) moieties added post-translationally. AChE activity may constitute a sensitive biomarker of RBC ageing in vivo, and thus, may be of aid in understanding the effects of transfusion. |
| References |
|---|
| 1.Molecules. 2020 Oct 4;25(19):4545. 2.J Cell Biochem. 2021 Aug;122(8):787-800. |
| Specification | |
|---|---|
| Aliases | YT; ACEE; ARACHE; N-ACHE |
| Entrez GeneID | 43 |
| Swissprot | P22303 |
| clone | 3D5E8 |
| WB Predicted band size | 67.8kDa |
| Host/Isotype | Mouse IgG1 |
| Antibody Type | Primary antibody |
| Storage | Store at 4°C short term. Aliquot and store at -20°C long term. Avoid freeze/thaw cycles. |
| Species Reactivity | Human, Mouse, Monkey, Rat |
| Immunogen | Purified recombinant fragment of human ACHE expressed in E. Coli. |
| Formulation | Purified antibody in PBS with 0.05% sodium azide |
| Application | |
|---|---|
| WB | 1/500 - 1/2000 |
| IHC | 1/200 - 1/1000 |
| FCM | 1/200 - 1/400 |
Product Image
- Western blot analysis using ACHE mouse mAb against PC-12 (1), Hela (2),mouse brai (3),NIH/3T3 (4),COS7 (5),Jurkat (6) and Raji (7) cell lysate.
- Flow cytometric analysis of NIH/3T3 cells using ACHE mouse mAb (green) and negative control (red).
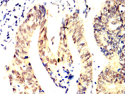
- Immunohistochemical analysis of paraffin-embedded human prostate cancer tissues using ACHE mouse mAb with DAB staining.
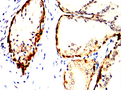
- Immunohistochemical analysis of paraffin-embedded human rectum cancer tissues using ACHE mouse mAb with DAB staining.
For Reseach Only
Application Key:WB - Western Blot | IHC - Immunohistochemistry | ICC - Immunocytochemistry | FCM - Flow Cytometry | ELISA - Enzyme-linked Immunosorbent Assay | IP - Immunoprecipitation
#32394
相关产品

微信/QQ登录


首页
