提醒成功
搜索
Mouse Monoclonal Antibody to MSH2
| Description |
|---|
| MSH2 is a 100 kDa nuclear antigen and encodes a protein of 934 amino acids. The MSH2 gene is one of 4 known genes encoding proteins involved in the repair of mismatch nucleotides following DNA replication or repair. Mutations in the MSH2 gene contribute to the development of sporadic colorectal carcinoma. MSHS mutations are responsible for 50% of inherited non-polyposis colorectal (HNPCC). The repair of mismatch DNA is essential to maintaining the integrity of genetic information over time. An alteration of microsatellite repeats is the result of slippage owing to strand misalignment during DNA replication and is referred to as microsatellite instability (MSI). These defects in DNA repair pathways have been related to human carcinogenesis. MSH-2 is involved in the initial cognition of mismatch nucleotides during the replication mismatch repair process. |
| References |
|---|
| 1. Papadopoulos, N. 1994. Science 263: 1625-1629. 2. Palombo, F. 1994. Nature 367:417-418. |
| Specification | |
|---|---|
| Aliases | FCC1; COCA1; HNPCC; LCFS2 |
| Entrez GeneID | 4436 |
| Swissprot | P43246 |
| clone | 1B3A8A8 |
| WB Predicted band size | 105kDa |
| Host/Isotype | Mouse IgG1 |
| Antibody Type | Primary antibody |
| Storage | Store at 4°C short term. Aliquot and store at -20°C long term. Avoid freeze/thaw cycles. |
| Species Reactivity | Human,Monkey |
| Immunogen | Purified recombinant fragment of human MSH2 expressed in E. Coli. |
| Formulation | Ascitic fluid containing 0.03% sodium azide. |
| Application | |
|---|---|
| WB | 1/500 - 1/2000 |
| IHC | 1/200 - 1/1000 |
| ICC | 1/200 - 1/1000 |
| ELISA | 1/10000 |
Product Image
- Western blot analysis using MSH2 mouse mAb against Hela (1), A549 (2), A431 (3) and HEK293 (4) cell lysate.
- Confocal Immunofluorescence analysis of Hela cells using MSH2 mouse mAb (green), showing nuclear localization. Red: Actin filaments have been labeled with Alexa Fluor-555 phalloidin.
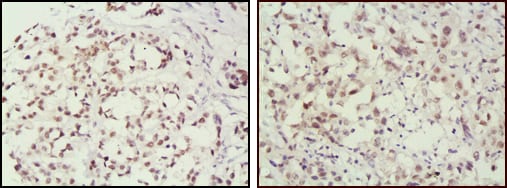
- Immunohistochemical analysis of paraffin-embedded human breast cancer (left) and lung cancer (right) tissues, showing nuclear localization using MSH2 mouse mAb with DAB staining.
For Reseach Only
Application Key:WB - Western Blot | IHC - Immunohistochemistry | ICC - Immunocytochemistry | FCM - Flow Cytometry | ELISA - Enzyme-linked Immunosorbent Assay | IP - Immunoprecipitation
#20025
相关产品

微信/QQ登录


首页
