请登录
搜索 英文站
栏目

提醒成功

请输入手机号/邮箱号
请输入密码

账号密码登录

微信/QQ登录 微信/QQ登录

没有账号? 立即注册

搜索
Gel: 8%SDS-PAGE, Lysate: 40 μg, Lane 1-6: Mouse kidney tissue, Mouse brain tissue, 231, Hela, 293T and HepG2 cell lysates , Primary antibody: P00001(ACTB Antibody) at dilution 1/1600, Secondary antibody: Goat anti rabbit IgG at 1/5000 dilution, Exposure time: 2 minutes
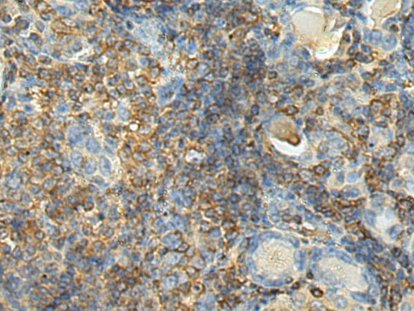
The image is immunohistochemistry of paraffin-embedded Human thyroid cancer tissue using P00001(ACTB Antibody) at dilution 1/50. (Original magnification: ×200)
The image is immunohistochemistry of paraffin-embedded Human tonsil tissue using P00001(ACTB Antibody) at dilution 1/50. (Original magnification: ×200)

Rabbit Polyclonal Antibody to ACTB

  • 货号:

    P00001
  • 别名:

    BRWS1; PS1TP5BP1
  • 应用:

    WB,IHC
  • 反应种属:

    Human, Mouse, Rat
  • 规格:

  • 数量:

    -
    +
  • 说明书:

    目录价¥1980

加入购物车

Rabbit Polyclonal Antibody to ACTB

Description
This gene encodes one of six different actin proteins. Actins are highly conserved proteins that are involved in cell motility, structure, integrity, and intercellular signaling. The encoded protein is a major constituent of the contractile apparatus and one of the two nonmuscle cytoskeletal actins that are ubiquitously expressed. Mutations in this gene cause Baraitser-Winter syndrome 1, which is characterized by intellectual disability with a distinctive facial appearance in human patients. Numerous pseudogenes of this gene have been identified throughout the human genome.
Specification
Aliases BRWS1; PS1TP5BP1
Swissprot P60709
WB Predicted band size 42 kDa
Host/Isotype Rabbit IgG
Antibody Type Primary antibody
Storage Store at 4°C short term. Aliquot and store at -20°C long term. Avoid freeze/thaw cycles.
Species Reactivity Human, Mouse, Rat
Immunogen Synthetic peptide of human ACTB
Formulation pH7.4 PBS, 0.05% NaN3, 40% Glycerol
Application
WB 1/1000-1/5000
IHC 1/50-1/100
ELISA 1/5000-1/10000