请登录
搜索 英文站
栏目

提醒成功

请输入手机号/邮箱号
请输入密码

账号密码登录

微信/QQ登录 微信/QQ登录

没有账号? 立即注册

搜索
Western blot analysis using HSP70 mouse mAb against Hela (1) cell lysate.
Immunofluorescence analysis of NIH/3T3 cells using HSP70 mouse mAb (green). Blue: DRAQ5 fluorescent DNA dye.
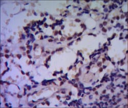
Immunohistochemical analysis of paraffin-embedded human breast cancer using HSP70 mouse mAb with DAB staining.

Mouse Monoclonal Antibody to HSP70

  • 货号:

    20421
  • 别名:

    RY; APG-2; hsp70; hsp70RY; HS24/P52; MGC131852; HSPA4
  • 应用:

    WB,IHC,ICC
  • 反应种属:

    Human
  • 规格:

  • 数量:

    -
    +
  • 说明书:

    目录价¥2180

加入购物车

Mouse Monoclonal Antibody to HSP70

Description
This intronless gene encodes a 70kDa heat shock protein which is a member of the heat shock protein 70 family. In conjuction with other heat shock proteins, this protein stabilizes existing proteins against aggregation and mediates the folding of newly translated proteins in the cytosol and in organelles. It is also involved in the ubiquitin-proteasome pathway through interaction with the AU-rich element RNA-binding protein 1. The gene is located in the major histocompatibility complex class III region, in a cluster with two closely related genes which encode similar proteins.
References
1. J Hepatol. 2009 Apr;50(4):746-54.
2. Int J Gynecol Pathol. 2009 May;28(3):211-21.
Specification
Aliases RY; APG-2; hsp70; hsp70RY; HS24/P52; MGC131852; HSPA4
Entrez GeneID 3308
Swissprot P34932
clone 5A6
WB Predicted band size 70kDa
Host/Isotype Mouse IgG1
Antibody Type Primary antibody
Storage Store at 4°C short term. Aliquot and store at -20°C long term. Avoid freeze/thaw cycles.
Species Reactivity Human
Immunogen Purified recombinant fragment of human HSP70 expressed in E. Coli.
Formulation Purified antibody in PBS with 0.05% sodium azide
Application
WB 1/500 - 1/2000
IHC 1/200 - 1/1000
ICC 1/200 - 1/1000
ELISA 1/10000

For Reseach Only

Application Key:WB - Western Blot | IHC - Immunohistochemistry | ICC - Immunocytochemistry | FCM - Flow Cytometry | ELISA - Enzyme-linked Immunosorbent Assay | IP - Immunoprecipitation

#20421