提醒成功
搜索
Mouse Monoclonal Antibody to Rab25
| Description |
|---|
| Members of the Ras-related superfamily of GTP binding proteins, which includes Ras, Rho, Rab and ARF subfamilies, exhibit 30-50% similarity with Ras p21. Rab proteins play an important role for either in endocytosis or in biosynthetic protein transport. The possibility that Rab proteins might also direct the exocytosis from secretory vesicles to the plasma membrane is supported by the observation that in yeast, the SEC4 protein, which is 40% similar to Rab proteins, is associated with secretory vesicles. Rab proteins located on the cytoplasmic face of organelles and vesicles, rab proteins are involved in intracellular membrane fusion reactions. Rab25 was cloned from a gastric parietal cell cDNA library and is expressed in epithelial tissues such as the gastrointestinal mucosae, kidney, and lung, which encoded a protein of 28 kDa. |
| References |
|---|
| 1. JR Goldenring, KR Shen, HD Vaughan. et al. J. Biol. Chem,1993,268(25):18419-18422 2. Xiaoye W, Ravindra K, Jennifer N. et al. J. Biol. Chem,2000,275(37):29138-29146 |
| Specification | |
|---|---|
| Aliases | CATX-8; RAB25 |
| Entrez GeneID | 57111 |
| Swissprot | P57735 |
| clone | 3F12 |
| WB Predicted band size | 24kDa |
| Host/Isotype | Mouse IgG1 |
| Antibody Type | Primary antibody |
| Storage | Store at 4°C short term. Aliquot and store at -20°C long term. Avoid freeze/thaw cycles. |
| Species Reactivity | Human,Mouse |
| Immunogen | Purified recombinant fragment of Rab25 expressed in E. Coli. |
| Formulation | Ascitic fluid containing 0.03% sodium azide. |
| Application | |
|---|---|
| WB | 1/500 - 1/2000 |
| IHC | 1/200 - 1/1000 |
| ICC | 1/200 - 1/1000 |
| FCM | 1/200 - 1/400 |
| ELISA | 1/10000 |
Product Image
- Western blot analysis using Rab25 mouse mAb against MCF-7 (1), T47D (2) and GC7901 (3) cell lysate.
- Immunofluorescence analysis of A549 cells using RAB25 mouse mAb (green). Blue: DRAQ5 fluorescent DNA dye. Red: Actin filaments have been labeled with Alexa Fluor-555 phalloidin.
- Flow cytometric analysis of NIH/3T3 cells using Rab25 mouse mAb (green) and negative control (purple).
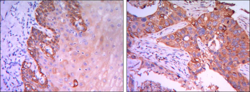
- Immunohistochemical analysis of paraffin-embedded human esophagus tissues (left) and human lung cancer (right) using Rab25 mouse mAb with DAB staining.
For Reseach Only
Application Key:WB - Western Blot | IHC - Immunohistochemistry | ICC - Immunocytochemistry | FCM - Flow Cytometry | ELISA - Enzyme-linked Immunosorbent Assay | IP - Immunoprecipitation
#20430
相关产品

微信/QQ登录


首页
