请登录
搜索 英文站
栏目

提醒成功

请输入手机号/邮箱号
请输入密码

账号密码登录

微信/QQ登录 微信/QQ登录

没有账号? 立即注册

搜索
Western blot analysis using FAK mouse mAb against A549 (1) and NIH/3T3 (2) cell lysate.
Immunofluorescence analysis of B16 cells using FAK mouse mAb (green). Blue: DRAQ5 fluorescent DNA dye.
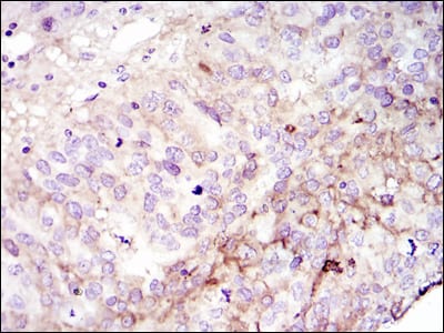
Immunohistochemical analysis of paraffin-embedded human cervices tumour using FAK mouse mAb with DAB staining

Mouse Monoclonal Antibody to FAK

  • 货号:

    20431
  • 别名:

    FAK; FADK; FAK1; FRNK; pp125FAK; PTK2
  • 应用:

    WB,IHC,ICC
  • 反应种属:

    Human,Mouse
  • 规格:

  • 数量:

    -
    +
  • 说明书:

    目录价¥2180

加入购物车

Mouse Monoclonal Antibody to FAK

Description
This gene encodes a cytoplasmic protein tyrosine kinase which is found concentrated in the focal adhesions that form between cells growing in the presence of extracellular matrix constituents. The encoded protein is a member of the FAK subfamily of protein tyrosine kinases but lacks significant sequence similarity to kinases from other subfamilies. Activation of this gene may be an important early step in cell growth and intracellular signal transduction pathways triggered in response to certain neural peptides or to cell interactions with the extracellular matrix. At least four transcript variants encoding four different isoforms have been found for this gene, but the full-length natures of only two of them have been determined. Tissue specificity: Expressed in all organs tested, in lymphoid cell lines, but most abundantly in brain.RD: Focal adhesion kinase 1 (FAK) is a ubiquitously expressed non-receptor protein tyrosine kinase that is concentrated in the focal adhesions that form between cells growing in the presence of extracellular matrix constituents. This cellular localization is directed by a
References
1. Madeleine Toutant, Jeanne-Marie Studler, et al.Mol. Cell. Biol., Nov 2002; 22: 7731 - 7743.
2. Danshan Huang, Anthony T. Cheung, et al. J. Biol. Chem, May 2002; 277: 18151 - 18160.
Specification
Aliases FAK; FADK; FAK1; FRNK; pp125FAK; PTK2
Entrez GeneID 5747
Swissprot Q05397
clone 10H7
WB Predicted band size 119kDa
Host/Isotype Mouse IgG1
Antibody Type Primary antibody
Storage Store at 4°C short term. Aliquot and store at -20°C long term. Avoid freeze/thaw cycles.
Species Reactivity Human,Mouse
Immunogen Purified recombinant fragment of human FAK expressed in E. Coli.
Formulation Ascitic fluid containing 0.03% sodium azide.
Application
WB 1/500 - 1/2000
IHC 1/200 - 1/1000
ICC 1/200 - 1/1000
ELISA 1/10000

For Reseach Only

Application Key:WB - Western Blot | IHC - Immunohistochemistry | ICC - Immunocytochemistry | FCM - Flow Cytometry | ELISA - Enzyme-linked Immunosorbent Assay | IP - Immunoprecipitation

#20431