请登录
搜索 英文站
栏目

提醒成功

请输入手机号/邮箱号
请输入密码

账号密码登录

微信/QQ登录 微信/QQ登录

没有账号? 立即注册

搜索
Red: Control Antigen (100ng); Purple: Antigen (10ng); Green: Antigen (50ng); Blue: Antigen (100ng);
Western blot analysis using PPP1CC mouse mAb against T47D (1) and SKBR-3 (2) cell lysate.
Flow cytometric analysis of MOLT4 cells using PPP1CC mouse mAb (green) and negative control (purple).
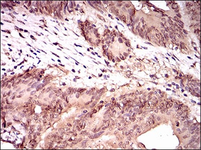
Immunohistochemical analysis of paraffin-embedded human colon cancer tissues using PPP1CC mouse mAb with DAB staining.
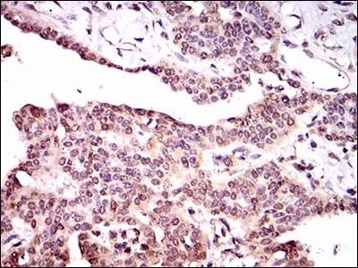
Immunohistochemical analysis of paraffin-embedded human ovarian cancer tissues using PPP1CC mouse mAb with DAB staining.

Mouse Monoclonal Antibody to PPP1CC

  • 货号:

    20438
  • 别名:

    PP-1G; PPP1G
  • 应用:

    WB,IHC,FCM
  • 反应种属:

    Human
  • 规格:

  • 数量:

    -
    +
  • 说明书:

    目录价¥2180

加入购物车

Mouse Monoclonal Antibody to PPP1CC

Description
The protein encoded by this gene belongs to the protein phosphatase family, PP1 subfamily. PP1 is an ubiquitous serine/threonine phosphatase that regulates many cellular processes, including cell division. It is expressed in mammalian cells as three closely related isoforms, alpha, beta/delta and gamma, which have distinct localization patterns. This gene encodes the gamma isozyme. Alternatively spliced transcript variants encoding different isoforms have been found for this gene.

References
1.Physiol Genomics. 2011 Sep 8;43(17):981-92.
2.EMBO Rep. 2010 Nov;11(11):883-9.
Specification
Aliases PP-1G; PPP1G
Entrez GeneID 5501
Swissprot P36873
clone 3D5C7
WB Predicted band size 37kDa
Host/Isotype Mouse IgG1
Antibody Type Primary antibody
Storage Store at 4°C short term. Aliquot and store at -20°C long term. Avoid freeze/thaw cycles.
Species Reactivity Human
Immunogen Purified recombinant fragment of human PPP1CC expressed in E. Coli.
Formulation Ascitic fluid containing 0.03% sodium azide.
Application
WB 1/500 - 1/2000
IHC 1/200 - 1/1000
FCM 1/200 - 1/400
ELISA 1/10000