请登录
搜索 英文站
栏目

提醒成功

请输入手机号/邮箱号
请输入密码

账号密码登录

微信/QQ登录 微信/QQ登录

没有账号? 立即注册

搜索
Red: Control Antigen (100ng); Purple: Antigen (10ng); Green: Antigen (50ng); Blue: Antigen (100ng);
Western blot analysis using KIF11 mouse mAb against MCF-7 (1) and HeLa (2) cell lysate.
Flow cytometric analysis of HeLa cells using KIF11 mouse mAb (green) and negative control (purple).
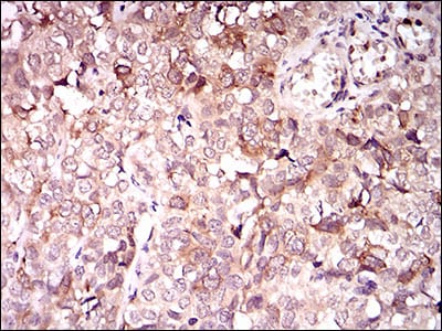
Immunohistochemical analysis of paraffin-embedded human ovarian cancer tissues using KIF11 mouse mAb with DAB staining.
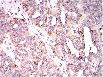
Immunohistochemical analysis of paraffin-embedded human bladder cancer tissues using KIF11 mouse mAb with DAB staining.

Mouse Monoclonal Antibody to KIF11

  • 货号:

    20442
  • 别名:

    EG5; HKSP; KNSL1; MCLMR; TRIP5
  • 应用:

    WB,IHC,FCM
  • 反应种属:

    Human
  • 规格:

  • 数量:

    -
    +
  • 说明书:

    目录价¥2180

加入购物车

Mouse Monoclonal Antibody to KIF11

Description
This gene encodes a motor protein that belongs to the kinesin-like protein family. Members of this protein family are known to be involved in various kinds of spindle dynamics. The function of this gene product includes chromosome positioning, centrosome separation and establishing a bipolar spindle during cell mitosis.

References
1.Biophys J. 2011 Dec 7;101(11):2760-9.
2.Mol Biol Cell. 2011 Sep;22(18):3420-30.
Specification
Aliases EG5; HKSP; KNSL1; MCLMR; TRIP5
Entrez GeneID 3832
Swissprot P52732
clone 3B7B2
WB Predicted band size 119kDa
Host/Isotype Mouse IgG1
Antibody Type Primary antibody
Storage Store at 4°C short term. Aliquot and store at -20°C long term. Avoid freeze/thaw cycles.
Species Reactivity Human
Immunogen Purified recombinant fragment of human KIF11 expressed in E. Coli.
Formulation Ascitic fluid containing 0.03% sodium azide.
Application
WB 1/500 - 1/2000
IHC 1/200 - 1/1000
FCM 1/200 - 1/400
ELISA 1/10000