提醒成功
搜索
Mouse Monoclonal Antibody to CDK4
| Description |
|---|
| The protein encoded by this gene is a member of the Ser/Thr protein kinase family. This protein is highly similar to the gene products of S. cerevisiae cdc28 and S. pombe cdc2. It is a catalytic subunit of the protein kinase complex that is important for cell cycle G1 phase progression. The activity of this kinase is restricted to the G1-S phase, which is controlled by the regulatory subunits D-type cyclins and CDK inhibitor p16(INK4a). This kinase was shown to be responsible for the phosphorylation of retinoblastoma gene product (Rb). Mutations in this gene as well as in its related proteins including D-type cyclins, p16(INK4a) and Rb were all found to be associated with tumorigenesis of a variety of cancers. Multiple polyadenylation sites of this gene have been reported. |
| References |
|---|
| 1.FEBS Lett. 2012 Feb 17;586(4):442-7. 2.J Transl Med. 2011 Apr 11;9:38. |
| Specification | |
|---|---|
| Aliases | CMM3; PSK-J3 |
| Entrez GeneID | 1019 |
| Swissprot | P11802 |
| clone | 4C5H9 |
| WB Predicted band size | 33.7kDa |
| Host/Isotype | Mouse IgG1 |
| Antibody Type | Primary antibody |
| Storage | Store at 4°C short term. Aliquot and store at -20°C long term. Avoid freeze/thaw cycles. |
| Species Reactivity | Human,Mouse |
| Immunogen | Purified recombinant fragment of human CDK4 expressed in E. Coli. |
| Formulation | Ascitic fluid containing 0.03% sodium azide. |
| Application | |
|---|---|
| WB | 1/500 - 1/2000 |
| IHC | 1/200 - 1/1000 |
| FCM | 1/200 - 1/400 |
| ELISA | 1/10000 |
Product Image
- Red: Control Antigen (100ng); Purple: Antigen (10ng); Green: Antigen (50ng); Blue: Antigen (100ng);
- Western blot analysis using CDK4 mouse mAb against HeLa (1) and F9 (2) cell lysate.
- Flow cytometric analysis of Hela cells using CDK4 mouse mAb (green) and negative control (purple).
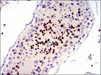
- Immunohistochemical analysis of paraffin-embedded human testis tissues using CDK4 mouse mAb with DAB staining.
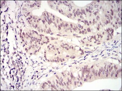
- Immunohistochemical analysis of paraffin-embedded human rectum cancer tissues using CDK4 mouse mAb with DAB staining.
For Reseach Only
Application Key:WB - Western Blot | IHC - Immunohistochemistry | ICC - Immunocytochemistry | FCM - Flow Cytometry | ELISA - Enzyme-linked Immunosorbent Assay | IP - Immunoprecipitation
#20445
相关产品

微信/QQ登录


首页
