提醒成功
搜索
Mouse Monoclonal Antibody to AKT2
| Description |
|---|
| Akt2 (also designated protein kinase B beta or v-akt murine thymoma viral oncogene homolog 2 ), with 481-amino acid protein (about 53kDa), belongs to the AKT serine/threonine protein kinase family, which also includes Akt1 and Akt3. They are involved in a wide variety of biological processes including cell proliferation, differentiation, apoptosis, tumorigenesis, as well as glycogen synthesis and glucose uptake. Among the members of AKT family, Akt2 is associated with the development of human cancers. Akt2 inhibits cisplatin-induced JNK/p38 and Bax activation through phosphorylation of ASK1 and thus, plays an important role in chemoresistance. Further, Akt2 plays a specific role in muscle differentiation. |
| References |
|---|
| 1. Am J Physiol Endocrinol Metab. 2004 Jul;287(1):E8-E15. 2. Oncol Rep. 2004 Jan;11(1):25-32. 3. Cancer Res. 2003 Jan 1;63(1):196-206. |
| Specification | |
|---|---|
| Aliases | PKBB; PRKBB; PKBBETA; RAC-BETA |
| Entrez GeneID | 208 |
| Swissprot | P31751 |
| clone | 1B6 |
| WB Predicted band size | 60kDa |
| Host/Isotype | Mouse IgG2b |
| Antibody Type | Primary antibody |
| Storage | Store at 4°C short term. Aliquot and store at -20°C long term. Avoid freeze/thaw cycles. |
| Species Reactivity | Human,Rat,Monkey |
| Immunogen | Purified recombinant fragment of human AKT2 expressed in E. Coli. |
| Formulation | Ascitic fluid containing 0.03% sodium azide. |
| Application | |
|---|---|
| WB | 1/500 - 1/2000 |
| IHC | 1/200 - 1/1000 |
| ICC | 1/200 - 1/1000 |
| ELISA | 1/10000 |
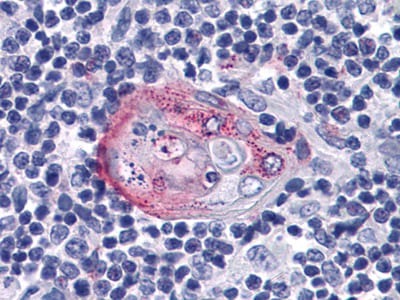
Product Image
- Western blot analysis using AKT2 mouse mAb against A431 (1), Jurkat (2), HEK293 (3), A549 (4), MCF-7 (5) and PC-12 (6) cell lysate.
- Immunofluorescence analysis of PANC-1 (left) and Hela (right) cells using AKT2 mouse mAb (green). Blue: DRAQ5 fluorescent DNA dye. Red: Actin filaments have been labeled with Alexa Fluor-555 phalloidin.
- Immunohistochemical analysis of paraffin-embedded human Thymus tissues using anti-AKT2 mAb
For Reseach Only
Application Key:WB - Western Blot | IHC - Immunohistochemistry | ICC - Immunocytochemistry | FCM - Flow Cytometry | ELISA - Enzyme-linked Immunosorbent Assay | IP - Immunoprecipitation
#30002
相关产品

微信/QQ登录


首页
