提醒成功
搜索
Mouse Monoclonal Antibody to BDH1
| Description |
|---|
| BDH1 (3-hydroxybutyrate dehydrogenase, type 1), it is a member of the short-chain dehydrogenase/reductase gene family. This protien forms a homotetrameric lipid-requiring enzyme of the mitochondrial membrane and has a specific requirement for phosphatidylcholine for optimal enzymatic activity. It catalyzes the interconversion of acetoacetate and (R)-3-hydroxybutyrate, the two major ketone bodies produced during fatty acid catabolism. |
| References |
|---|
| 1. Biochemistry. 1996 Jun 25;35(25):8158-65. 2. Biochemistry. 2000 Oct 3;39(39):11928-38. 3. Proc Natl Acad Sci U S A. 2001 Dec 18;98(26):15089-94. |
| Specification | |
|---|---|
| Aliases | BDH |
| Entrez GeneID | 622 |
| Swissprot | Q02338 |
| clone | 1A5 |
| WB Predicted band size | 38kDa |
| Host/Isotype | Mouse IgG1 |
| Antibody Type | Primary antibody |
| Storage | Store at 4°C short term. Aliquot and store at -20°C long term. Avoid freeze/thaw cycles. |
| Species Reactivity | Human,Mouse |
| Immunogen | Purified recombinant fragment of human BDH1 expressed in E. Coli. |
| Formulation | Ascitic fluid containing 0.03% sodium azide. |
| Application | |
|---|---|
| WB | 1/500 - 1/2000 |
| IHC | 1/200 - 1/1000 |
| ELISA | 1/10000 |
Product Image
- Western blot analysis using BDH1 mouse mAb against HepG2 (1) and NIH/3T3 (2) cell lysate.
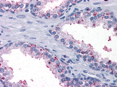
- Immunohistochemical analysis of paraffin-embedded human Prostate tissues using anti-BDH1 mouse mAb
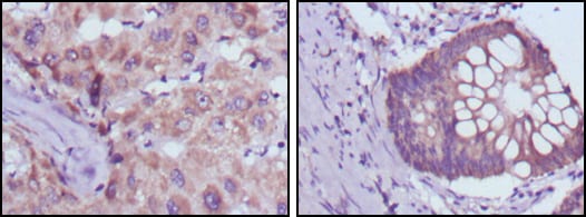
- Immunohistochemical analysis of paraffin-embedded human liver cancer (left) and colorectal cancer tissues (right) using BDH1 mouse mAb with DAB staining.
For Reseach Only
Application Key:WB - Western Blot | IHC - Immunohistochemistry | ICC - Immunocytochemistry | FCM - Flow Cytometry | ELISA - Enzyme-linked Immunosorbent Assay | IP - Immunoprecipitation
#30003
相关产品

微信/QQ登录


首页
