提醒成功
搜索
Mouse Monoclonal Antibody to ERN1
| Description |
|---|
| The protein encoded by this gene is the ER to nucleus signalling 1 protein, a human homologue of the yeast Ire1 gene product. This protein possesses intrinsic kinase activity and an endoribonuclease activity and it is important in altering gene expression as a response to endoplasmic reticulum-based stress signals. |
| References |
|---|
| 1. Biochem Biophys Res Commun. 2004 Apr 30;317(2):390-6. 2. Mol Cell Biol. 2005 Sep;25(17):7522-33. 3. Science. 2007 Nov 9;318(5852):944-9. |
| Specification | |
|---|---|
| Aliases | IRE1; IRE1P; IRE1a; hIRE1p; FLJ30999; MGC163277; MGC163279; ERN1 |
| Entrez GeneID | 2081 |
| Swissprot | O75460 |
| clone | 9F2 |
| WB Predicted band size | 109kDa |
| Host/Isotype | Mouse IgG1 |
| Antibody Type | Primary antibody |
| Storage | Store at 4°C short term. Aliquot and store at -20°C long term. Avoid freeze/thaw cycles. |
| Species Reactivity | Human |
| Immunogen | Purified recombinant fragment of human ERN1(aa282-433) expressed in E. Coli. |
| Formulation | Ascitic fluid containing 0.03% sodium azide. |
| Application | |
|---|---|
| WB | 1/500 - 1/2000 |
| IHC | 1/200 - 1/1000 |
| ELISA | 1/10000 |
Product Image
- Western blot analysis using ERN1 mouse mAb against Raji (1), A431 (2), Jurkat (3), Hela(4) and HEK293 (5) cell lysate.
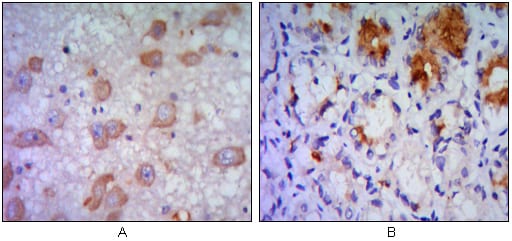
- Immunohistochemical analysis of paraffin-embedded human brain tissue (A) and stomach tissue (B), showing cytoplasmic localization using ERN1 mouse mAb with DAB staining.
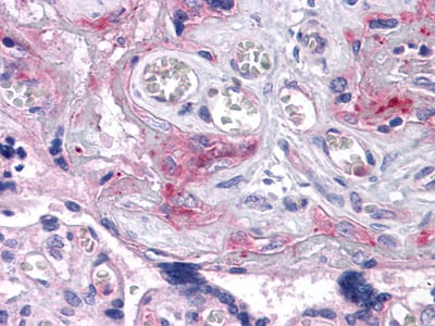
- Immunohistochemical analysis of paraffin-embedded human Placenta tissues using ERN1 mouse mAb
For Reseach Only
Application Key:WB - Western Blot | IHC - Immunohistochemistry | ICC - Immunocytochemistry | FCM - Flow Cytometry | ELISA - Enzyme-linked Immunosorbent Assay | IP - Immunoprecipitation
#30026
相关产品

微信/QQ登录


首页
