提醒成功
搜索
Mouse Monoclonal Antibody to LPlunc1
| Description |
|---|
| The protein encoded by this gene may be involved in the innate immune response to bacterial exposure in the mouth, nasal cavities, and lungs. The encoded protein is secreted and is a member of the BPI/LBP/PLUNC protein superfamily. This gene is found with other members of the superfamily in a cluster on chromosome 20. |
| References |
|---|
| 1. Genes Immun. 2009 Apr;10(3):267-72. 2. Histochem Cell Biol. 2010 May;133(5):505-15. |
| Specification | |
|---|---|
| Aliases | BPIFB1; LPLUNC1; MGC14597; C20orf114 |
| Entrez GeneID | 92747 |
| Swissprot | Q8TDL5 |
| clone | 2A5 |
| WB Predicted band size | 52kDa |
| Host/Isotype | Mouse IgG1 |
| Antibody Type | Primary antibody |
| Storage | Store at 4°C short term. Aliquot and store at -20°C long term. Avoid freeze/thaw cycles. |
| Species Reactivity | Human |
| Immunogen | Purified recombinant fragment of human LPlunc1 expressed in E. Coli. |
| Formulation | Purified antibody in PBS with 0.05% sodium azide |
| Application | |
|---|---|
| IHC | 1/200 - 1/1000 |
| ICC | 1/200 - 1/1000 |
| FCM | 1/200 - 1/400 |
| ELISA | 1/10000 |
Product Image
- Black line: Control Antigen (100 ng); Purple line: Antigen(10ng); Blue line: Antigen (50 ng); Red line: Antigen (100 ng);
- Immunofluorescence analysis of Hela cells using LPlunc1 mouse mAb (green). Blue: DRAQ5 fluorescent DNA dye. Red: Actin filaments have been labeled with Alexa Fluor-555 phalloidin.
- Flow cytometric analysis of Hela cells using LPlunc1 mouse mAb (green) and negative control (red).
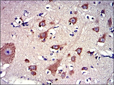
- Immunohistochemical analysis of paraffin-embedded human brain tissues using LPlunc1 mouse mAb with DAB staining.
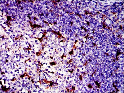
- Immunohistochemical analysis of paraffin-embedded human tonsil tissues using LPlunc1 mouse mAb with DAB staining.
For Reseach Only
Application Key:WB - Western Blot | IHC - Immunohistochemistry | ICC - Immunocytochemistry | FCM - Flow Cytometry | ELISA - Enzyme-linked Immunosorbent Assay | IP - Immunoprecipitation
#30302
相关产品

微信/QQ登录


首页
