请登录
搜索 英文站
栏目

提醒成功

请输入手机号/邮箱号
请输入密码

账号密码登录

微信/QQ登录 微信/QQ登录

没有账号? 立即注册

搜索
Western blot analysis using MYST1 mouse mAb against Hela (1), HepG2 (2) and SMMC-7721 (3) cell lysate.
Confocal Immunofluorescence analysis of Eca 109 cells using MOF/MYST1 mouse mAb (green), showing nuclear localization.
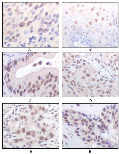
Immunohistochemical analysis of paraffin-embedded human esophageal squamous cell carcinoma (A), normal esophagus epithelium (B), rectum adenocarcinoma (C), lung squamous cell carcinoma (D), breast infiltrating carcinoma (E), and breast infiltrating carcinoma (F) tissues, showing nuclear localization using MOF/MYST1 mouse mAb with DAB staining.

Mouse Monoclonal Antibody to MYST1

  • 货号:

    20140
  • 别名:

    MOF; KAT8; hMOF
  • 应用:

    WB,IHC,ICC
  • 反应种属:

    Human
  • 规格:

  • 数量:

    -
    +
  • 说明书:

    目录价¥2180

加入购物车

Mouse Monoclonal Antibody to MYST1

Description
MYST1 (MYST histone acetyltransferase 1, MOF) belongs to the MYST family of histone acetyltransferases, which are employed in the cell to bring about transcriptional regulation. The MYST family includes MYST1, is named for the founding members MOZ, yeast YBF2 and SAS2, and TIP60. All members of this family contain a MYST region of about 240 amino acids with a canonical acetyl-CoA-binding site and a C2HC-type zinc finger motif. Most MYST proteins also have a chromodomain involved in protein- protein interactions and targeting transcriptional regulators to chromatin. Although MOF is expressed in both males and females, it associates with the X chromosome only in males. MOF contains a zinc-finger domain that is used to contact the globular part of the nucleosome and histone H4. The carboxy terminal domain of human MOF also has histone acetyltransferase activity directed against histones H3 and H2A, a characteristic shared with other MYST family histone
References
1. Sterner, D.E., et al. Microbiol. Mol. Biol 2000 Rev. 64: 435-459.
2. Neal, K.C., et al. Biochim. Biophys. 2000 Acta 1490: 170-174.
3. Akhtar, A., et al. EMBO 2001 Rep. 2: 113-118.
Specification
Aliases MOF; KAT8; hMOF
Entrez GeneID 84148
Swissprot Q9H7Z6
clone 8C4C4
WB Predicted band size 53kDa
Host/Isotype Mouse IgG2b
Antibody Type Primary antibody
Storage Store at 4°C short term. Aliquot and store at -20°C long term. Avoid freeze/thaw cycles.
Species Reactivity Human
Immunogen Purified recombinant fragment of human MYST1 expressed in E. Coli.
Formulation Ascitic fluid containing 0.03% sodium azide.
Application
WB 1/500 - 1/2000
IHC 1/200 - 1/1000
ICC 1/200 - 1/1000
ELISA 1/10000