请登录
搜索 英文站
栏目

提醒成功

请输入手机号/邮箱号
请输入密码

账号密码登录

微信/QQ登录 微信/QQ登录

没有账号? 立即注册

搜索
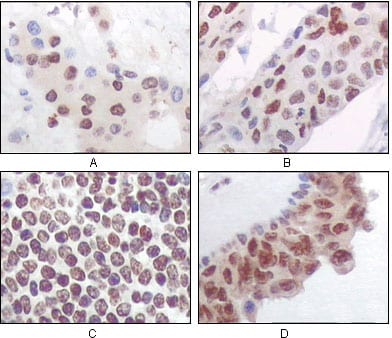
Immunohistochemical analysis of paraffin-embedded human lung adenocarcinoma (A), esophageal squamous cell carcinoma (B), hepatic cell carcinoma (C), thyroid tumor (D), breast adenofibroma (E), breast infiltrating ductal carcinoma (F), normal cerebrum tissue (G), normal colon tissue (H), normal esophageal tissue (I), showing nuclear localization using P16 mouse mAb with DAB staining.
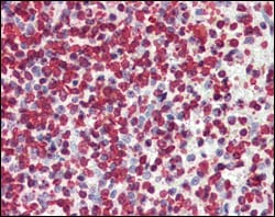
Immunohistochemical analysis of paraffin-embedded human spleen tissues using P16 mouse mAb.

Mouse Monoclonal Antibody to Human P16

  • 货号:

    20137
  • 别名:

    Human P16
  • 应用:

    IHC
  • 反应种属:

    Human
  • 规格:

  • 数量:

    -
    +
  • 说明书:

    目录价¥2180

加入购物车

Mouse Monoclonal Antibody to Human P16

Description
p16 (cyclin-dependent kinase inhibitor 2A, INK4a) is a tumor suppressor protein. It is a specific inhibitor of Cdk 4 / Cdk 6, and a tumor suppressor involved in the pathogenesis of a variety of malignancies. Recent analyses of the p16 INK4a gene revealed homozygous deletions, nonsense, missense, or frameshift mutations in several human cancers. Although the frequency of p16 INK4a abnormalities is higher in tumor derived cell lines than in unselected primary tumors, significant subsets of clinical cases with aberrant p16 INK4a gene have been reported among melanomas, gliomas, esophageal, pancreatic, lung, and urinary bladder carcinomas, and some types of leukemia.
References
1. Bai, F. et al. Mol. Cell. Biol.2003 23, 1269-1277.
2. Lowe, S.W. and Sherr, C.J. Curr. Opin. Genet.2003 Dev.13, 77-83.
3. Sherr, C.J. Nat. Rev. Mol. Cell Biol.2001 2, 731-737.
Specification
Aliases Human P16
Entrez GeneID 1029
Swissprot P42771
clone 5A8A4; 3G8D12
Host/Isotype Mouse IgG1
Antibody Type Primary antibody
Storage Store at 4°C short term. Aliquot and store at -20°C long term. Avoid freeze/thaw cycles.
Species Reactivity Human
Immunogen Purified recombinant fragment of P16 expressed in E. Coli.
Formulation Ascitic fluid containing 0.03% sodium azide.
Application
IHC 1/200 - 1/1000
ELISA 1/10000