提醒成功
搜索
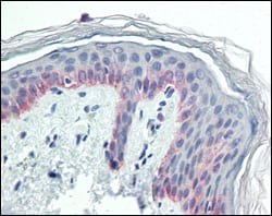
Mouse Monoclonal Antibody to Cytokeratin 5
| Description |
|---|
| CK5 (keratin 5) is a member of the keratin gene family. Biochemically, most members of the CK family fall into one of two classes, type I (acidic polypeptides) and type II (basic polypeptides). The type II cytokeratins consist of basic or neutral proteins which are arranged in pairs of heterotypic keratin chains coexpressed during differentiation of simple and stratified epithelial tissues. This type II cytokeratin is specifically expressed in the basal layer of the epidermis with family member KRT14. The type II cytokeratins are clustered in a region of chromosome 12q12-q13. At least one member of the acidic family and one member of the basic family is expressed in all epithelial cells. Cytokeratin 5 is expressed in normal basal cells. Mutations of the Cytokeratin5 gene (KRT5) have been shown to result in the autosomal dominant disorderepidermolysis bullosa (EB). Defects in KRT5 are a cause of epidermolysis bullosa simplex. |
| References |
|---|
| 1. Canedo-Patzi AM. Leon-Bojorge B. de Ortiz-Hidalgo C. Gac Med Mex. 2006, Jan-Feb, 142(1):59-66. Spanish. 2. Leibl S. Moinfar F. Am J Surg Pathol. 2006, Apr, 30(4):450-6. |
| Specification | |
|---|---|
| Aliases | K5; DDD; EBS2; KRT5A; KRT5 |
| Entrez GeneID | 3852 |
| Swissprot | P13647 |
| clone | 3E2F1 |
| Host/Isotype | Mouse IgG1 |
| Antibody Type | Primary antibody |
| Storage | Store at 4°C short term. Aliquot and store at -20°C long term. Avoid freeze/thaw cycles. |
| Species Reactivity | Human |
| Immunogen | Purified recombinant fragment of CK5 expressed in E. Coli. |
| Formulation | Ascitic fluid containing 0.03% sodium azide. |
| Application | |
|---|---|
| IHC | 1/200 - 1/1000 |
| ELISA | 1/10000 |
Product Image
- Immunohistochemical analysis of paraffin-embedded human esophagus epithelium (A), salivary gland basal cell (B), lung squamous cell carcinoma (C), endometrium admosquamous carcinoma (D), showing cytoplasmic and membrane localization using CK5 mouse mAb with DAB staining.
- Immunohistochemical analysis of paraffin-embedded human skin tissues using CK5 mouse mAb.
For Reseach Only
Application Key:WB - Western Blot | IHC - Immunohistochemistry | ICC - Immunocytochemistry | FCM - Flow Cytometry | ELISA - Enzyme-linked Immunosorbent Assay | IP - Immunoprecipitation
#20142
相关产品

微信/QQ登录


首页
