请登录
搜索 英文站
栏目

提醒成功

请输入手机号/邮箱号
请输入密码

账号密码登录

微信/QQ登录 微信/QQ登录

没有账号? 立即注册

搜索
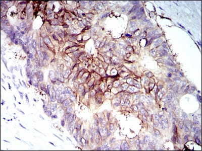
Immunohistochemical analysis of paraffin-embedded human ovarian cancer tissues using IGF1R-Beta mouse mAb with DAB staining.
Immunohistochemical analysis of paraffin-embedded human rectum cancer tissues using IGF1R-Beta mouse mAb with DAB staining.

Mouse Monoclonal Antibody to IGF1R-Beta

  • 货号:

    20149
  • 别名:

    IGF1R
  • 应用:

    IHC
  • 反应种属:

    Human
  • 规格:

  • 数量:

    -
    +
  • 说明书:

    目录价¥2180

加入购物车

Mouse Monoclonal Antibody to IGF1R-Beta

Description
IGF1R(insulin-like growth factor 1 receptor), a transmembrane receptor tyrosine kinase, is widely expressed in many cell types within fetal and postnatal tissues, and in many cell lines. Upon binding to its ligands, IGF-I and IGF-II, receptor autophosphorylation occurs. The triple tyrosine cluster within the kinase domain (Tyr1131, Tyr1135 and Tyr1136) is the earliest major site of autophosphorylation. Phosphorylation of these three tyrosine residues is necessary for kinase activation.Insulin receptors (IRs) share significant similarity with IGF1 receptors in both structure and function,including an equivalent triple tyrosine cluster within the activation loop of the kinase domain (Tyr1146, Tyr1150 and Tyr1151).Tyrosine autophosphorylation of insulin receptor is one of the earliest cellular responses to insulin stimulation. Autophosphorylation begins with phosphorylation of Tyr1146 and either Tyr1150 or Tyr1151. Full kinase activation requires the triple tyrosine phosphorylation.
References
1. Zhu Z. Jiang W. Thompson HJ. Carcinogenesis. 2003, Jul, 24(7):1225-31. Epub 2003 May 9.
2. Ling Y. Maile LA. Clemmons DR. Mol Endocrinol. 2003, Sep,17(9):1824-33. Epub 2003 Jun 5.
Specification
Aliases IGF1R
Entrez GeneID 3480
Swissprot P08069
clone 3G5C1
WB Predicted band size 96kDa
Host/Isotype Mouse IgG2a
Antibody Type Primary antibody
Storage Store at 4°C short term. Aliquot and store at -20°C long term. Avoid freeze/thaw cycles.
Species Reactivity Human
Immunogen Purified recombinant fragment of IGF1R-Beta (AA: 1101-1367) expressed in E. Coli.
Formulation Ascitic fluid containing 0.03% sodium azide.
Application
IHC 1/200 - 1/1000
ELISA 1/10000

For Reseach Only

Application Key:WB - Western Blot | IHC - Immunohistochemistry | ICC - Immunocytochemistry | FCM - Flow Cytometry | ELISA - Enzyme-linked Immunosorbent Assay | IP - Immunoprecipitation

#20149