请登录
搜索 英文站
栏目

提醒成功

请输入手机号/邮箱号
请输入密码

账号密码登录

微信/QQ登录 微信/QQ登录

没有账号? 立即注册

搜索
Western blot analysis using Trim5a mouse mAb against human breast carcinoma tissue lysate.
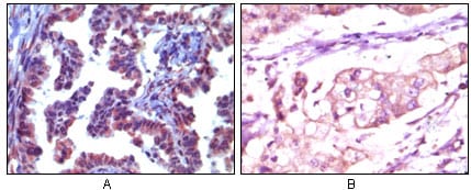
Immunohistochemical analysis of paraffin-embedded human metastatic adenocarcinoma(A) and stomach adenocarcinoma (B), showing cytoplasmic localization using Trim5a mouse mAb with AEC staining (A) and DAB staining(B).

Mouse Monoclonal Antibody to Trim5a

  • 货号:

    20023
  • 别名:

    RNF88; TRIM5alpha
  • 应用:

    WB,IHC
  • 反应种属:

    Human
  • 规格:

  • 数量:

    -
    +
  • 说明书:

    目录价¥2180

加入购物车

Mouse Monoclonal Antibody to Trim5a

Description
TRIM5-alpha is a protein that is found in the cells of many mammals and fends of various retrovirus infections. It protects monkeys from infection with HIV-1, and humans from infection with some other viruses. If a retrovirus has entered a cell, it needs to shed its capsid in order to reversely transcribe its genes, so that they can be expressed by the host cell. It is believed that TRIM5 alpha, which is present in the cytoplasm, somehow recognizes the capsid and blocks its shedding, thereby stopping the virus in its tracks. It thus represents an intracellular defense completely separate from the rest of the body's immune system.
References
1. Stremlau, M. Nature 2004.427:848-53.
2. Song, B. J Virol. 2005.79(7):3930-7.
Specification
Aliases RNF88; TRIM5alpha
Entrez GeneID 85363
Swissprot Q9C035
clone 3B11H2
Host/Isotype Mouse IgG1
Antibody Type Primary antibody
Storage Store at 4°C short term. Aliquot and store at -20°C long term. Avoid freeze/thaw cycles.
Species Reactivity Human
Immunogen Purified recombinant fragment of human trim5 alpha expressed in E. Coli.
Formulation Ascitic fluid containing 0.03% sodium azide.
Application
WB 1/500 - 1/2000
IHC 1/200 - 1/1000
ELISA 1/10000

For Reseach Only

Application Key:WB - Western Blot | IHC - Immunohistochemistry | ICC - Immunocytochemistry | FCM - Flow Cytometry | ELISA - Enzyme-linked Immunosorbent Assay | IP - Immunoprecipitation

#20023