提醒成功
搜索
Mouse Monoclonal Antibody to MCM3
| Description |
|---|
| The protein encoded by this gene is one of the highly conserved mini-chromosome maintenance proteins (MCM) that are involved in the initiation of eukaryotic genome replication. The hexameric protein complex formed by MCM proteins is a key component of the pre-replication complex (pre_RC) and may be involved in the formation of replication forks and in the recruitment of other DNA replication related proteins. This protein is a subunit of the protein complex that consists of MCM2-7. It has been shown to interact directly with MCM5/CDC46. This protein also interacts with and is acetylated by MCM3AP, a chromatin-associated acetyltransferase. The acetylation of this protein inhibits the initiation of DNA replication and cell cycle progression. Several transcript variants encoding different isoforms have been found for this gene. |
| References |
|---|
| 1.Comput Math Methods Med. 2021 Oct 11;2021:8494260. 2.Biosci Rep. 2020 Jul 31;40(7):BSR20201503. |
| Specification | |
|---|---|
| Aliases | HCC5; P1.h; RLFB; P1-MCM3 |
| Entrez GeneID | 4172 |
| Swissprot | P25205 |
| clone | 1D4A3 |
| WB Predicted band size | 91kDa |
| Host/Isotype | Mouse IgG1 |
| Antibody Type | Primary antibody |
| Storage | Store at 4°C short term. Aliquot and store at -20°C long term. Avoid freeze/thaw cycles. |
| Species Reactivity | Human,Rat,Monkey |
| Immunogen | Purified recombinant fragment of human MCM3 expressed in E. Coli. |
| Formulation | Purified antibody in PBS with 0.05% sodium azide |
| Application | |
|---|---|
| WB | 1/500 - 1/2000 |
| IHC | 1/200 - 1/1000 |
| ICC | 1/50 - 1/200 |
| FCM | 1/200 - 1/400 |
Product Image
- Western blot analysis using MCM3 mouse mAb against PC-12 (1), HepG2 (2),Hela (3) and COS7 (4) cell lysate.
- Immunofluorescence analysis of Hela cells using MCM3 mouse mAb (green). Blue: DRAQ5 fluorescent DNA dye. Red: Actin filaments have been labeled with Alexa Fluor- 555 phalloidin. Secondary antibody from Fisher (Cat#: 35503)
- Flow cytometric analysis of Hela cells using MCM3 mouse mAb (green) and negative control (red).
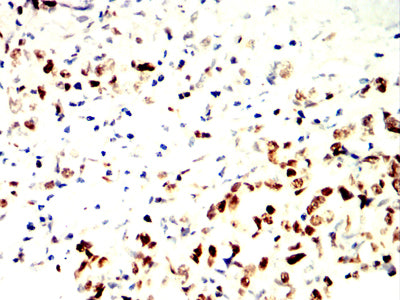
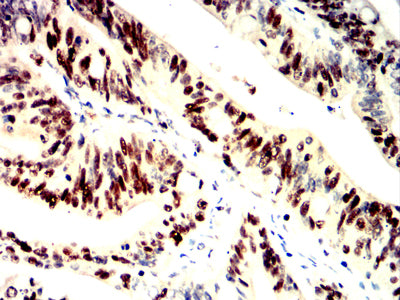
- Immunohistochemical analysis of paraffin-embedded human stomach cancer tissues using MCM3 mouse mAb with DAB staining.
- Immunohistochemical analysis of paraffin-embedded human rectum cancer tissues using MCM3 mouse mAb with DAB staining.
For Reseach Only
Application Key:WB - Western Blot | IHC - Immunohistochemistry | ICC - Immunocytochemistry | FCM - Flow Cytometry | ELISA - Enzyme-linked Immunosorbent Assay | IP - Immunoprecipitation
#32392
相关产品

微信/QQ登录


首页
