请登录
搜索 英文站
栏目

提醒成功

请输入手机号/邮箱号
请输入密码

账号密码登录

微信/QQ登录 微信/QQ登录

没有账号? 立即注册

搜索
Western blot analysis using ST13 mouse mAb against A431 (1), HEK293 (2), Hela (3), HepG2 (4), Jurkat (5), K562 (6), L121O (7) and MCF-7 (8) cell lysate.
Immunofluorescence analysis of NIH/3T3 cells using ST13 mouse mAb (green). Blue: DRAQ5 fluorescent DNA dye.
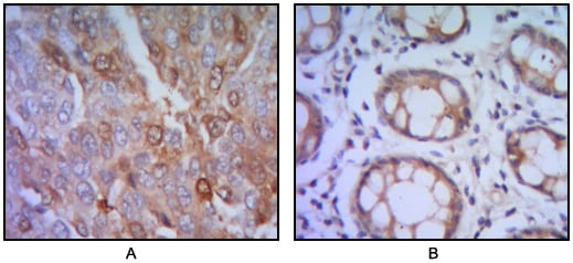
Immunohistochemical analysis of paraffin-embedded human lung cancer (A), colon cancer (B) using ST13 mouse mAb with DAB staining.
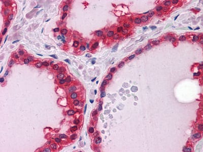
Immunohistochemical analysis of paraffin-embedded human Thyroid tissues using ST13 mouse mAb

Mouse Monoclonal Antibody to ST13

  • 货号:

    20419
  • 别名:

    HIP; HOP; P48; AAG2; SNC6; HSPABP; FAM10A1; FAM10A4; HSPABP1; ST13
  • 应用:

    WB,IHC,ICC
  • 反应种属:

    Human,Monkey
  • 规格:

  • 数量:

    -
    +
  • 说明书:

    目录价¥2180

加入购物车

Mouse Monoclonal Antibody to ST13

Description
ST13 (suppression of tumorigenicity protein 13), also known as Hip (HSP70-interacting protein), is one of several co-chaperones that regulate activities of the HSP70 chaperone family. The homo-oligomeric protein Hip cooperates with HSP70 in protein folding by stabilizing the ADP-bound state of HSP70. Hip directly binds to the ATPase domain of HSP70 when it is converted to the ADP-bound state by proteins of the HSP40 family. By collaborating with other positive co-factors such as HSP40 and Hop, or competing with negative co-factors such as Bag1, Hip may facilitate the chaperone function of HSP70 in protein folding and repair, and in controlling the activity of regulatory proteins such as steroid receptors and various regulators of proliferation or apoptosis.
References
1. J Biol Chem. 2002 Jan 4;277(1):259-66.
2. Electrophoresis. 2004 May;25(9):1289-98.
Specification
Aliases HIP; HOP; P48; AAG2; SNC6; HSPABP; FAM10A1; FAM10A4; HSPABP1; ST13
Entrez GeneID 6767
Swissprot P50502
clone 3B10
WB Predicted band size 48kDa
Host/Isotype Mouse IgG1
Antibody Type Primary antibody
Storage Store at 4°C short term. Aliquot and store at -20°C long term. Avoid freeze/thaw cycles.
Species Reactivity Human,Monkey
Immunogen Purified recombinant fragment of human ST13 expressed in E. Coli.
Formulation Ascitic fluid containing 0.03% sodium azide.
Application
WB 1/500 - 1/2000
IHC 1/200 - 1/1000
ICC 1/200 - 1/1000
ELISA 1/10000