请登录
搜索 英文站
栏目

提醒成功

请输入手机号/邮箱号
请输入密码

账号密码登录

微信/QQ登录 微信/QQ登录

没有账号? 立即注册

搜索
Black line: Control Antigen (100 ng); Purple line: Antigen(10ng); Blue line: Antigen (50 ng); Red line: Antigen (100 ng);
Flow cytometric analysis of Jurkat cells using CD9 mouse mAb (green) and negative control (red).
Immunohistochemical analysis of paraffin-embedded human cervical cancer tissues using CD9 mouse mAb with DAB staining.
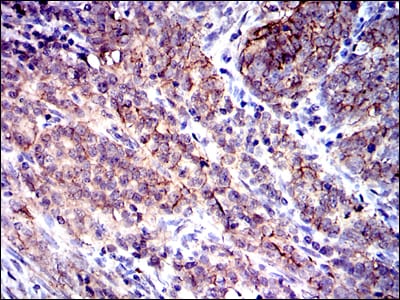
Immunohistochemical analysis of paraffin-embedded human kidney cancer tissues using CD9 mouse mAb with DAB staining.

Mouse Monoclonal Antibody to CD9

  • 货号:

    30298
  • 别名:

    MIC3; MRP-1; BTCC-1; DRAP-27; TSPAN29; FLJ99568; TSPAN-29
  • 应用:

    IHC,FCM
  • 反应种属:

    Human
  • 规格:

  • 数量:

    -
    +
  • 说明书:

    目录价¥2180

加入购物车

Mouse Monoclonal Antibody to CD9

Description
This gene encodes a member of the transmembrane 4 superfamily, also known as the tetraspanin family. Tetraspanins are cell surface glycoproteins with four transmembrane domains that form multimeric complexes with other cell surface proteins. The encoded protein functions in many cellular processes including differentiation, adhesion, and signal transduction, and expression of this gene plays a critical role in the suppression of cancer cell motility and metastasis.
References
1. Biochem Biophys Res Commun. 2009 Apr 24;382(1):57-62.
2. Int J Cancer. 2009 Jun 15;124(12):2911-6.
Specification
Aliases MIC3; MRP-1; BTCC-1; DRAP-27; TSPAN29; FLJ99568; TSPAN-29
Entrez GeneID 928
Swissprot P21926
clone 5G6
WB Predicted band size 25kDa
Host/Isotype Mouse IgG1
Antibody Type Primary antibody
Storage Store at 4°C short term. Aliquot and store at -20°C long term. Avoid freeze/thaw cycles.
Species Reactivity Human
Immunogen Synthesized peptide of human CD9.
Formulation Ascitic fluid containing 0.03% sodium azide.
Application
IHC 1/200 - 1/1000
FCM 1/200 - 1/400
ELISA 1/10000